Phone:
+1 877 302 8632
Fax:
+1 888 205 9894 (Toll-free)
E-Mail:
orders@antibodies-online.com

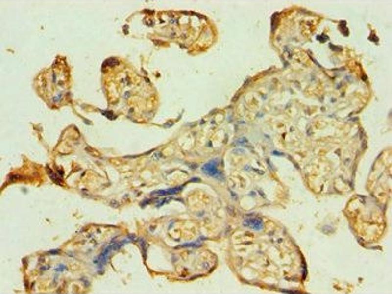
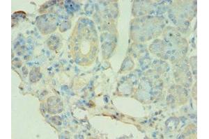
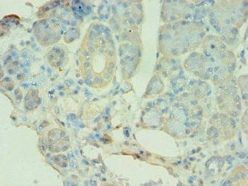
ATG9B antibody (AA 715-924)

The Rabbit Polyclonal anti-ATG9B antibody is suitable to detect ATG9B in samples from Human. It has been validated for ELISA and IHC.
Catalog No. ABIN7145118
$394.68
Plus shipping costs $50.00
Shipping to: United States
Delivery in 13 to 17 Business Days

Quick Overview for ATG9B antibody (AA 715-924) (ABIN7145118)

Target

See all ATG9B Antibodies
ATG9B (Autophagy Related 9B (ATG9B))

Reactivity

  • 27
  • 20
  • 19
  • 2
  • 1
  • 1
  • 1
  • 1
Human

Host

  • 42
Rabbit

Clonality

  • 42
Polyclonal

Conjugate

  • 14
  • 3
  • 3
  • 3
  • 2
  • 2
  • 1
  • 1
  • 1
  • 1
  • 1
  • 1
  • 1
  • 1
  • 1
  • 1
  • 1
  • 1
  • 1
  • 1
  • 1
This ATG9B antibody is un-conjugated

Application

  • 27
  • 13
  • 13
  • 13
  • 13
  • 13
  • 8
  • 6
  • 3
  • 1
  • 1
ELISA, Immunohistochemistry (IHC)
  • Binding Specificity

    • 15
    • 10
    • 8
    • 7
    • 1
    • 1
    • 1
    AA 715-924

    Purpose

    ATG9B Antibody

    Purification

    Antigen Affinity Purified

    Immunogen

    Recombinant Human Autophagy-related protein 9B protein (715-924AA)

    Isotype

    IgG
  • Application Notes

    Optimal working dilution should be determined by the investigator.

    Restrictions

    For Research Use only
  • Format

    Liquid

    Buffer

    PBS with 0.02 % sodium azide, 50 % glycerol, pH 7.3.

    Preservative

    Sodium azide

    Precaution of Use

    This product contains Sodium azide: a POISONOUS AND HAZARDOUS SUBSTANCE which should be handled by trained staff only.

    Storage

    -20 °C,-80 °C

    Storage Comment

    Upon receipt, store at -20°C or -80°C. Avoid repeated freeze.
  • Target

    ATG9B (Autophagy Related 9B (ATG9B))

    Alternative Name

    ATG9B

    Background

    Background: Involved in autophagy and cytoplasm to vacuole transport (Cvt) vesicle formation. Plays a key role in the organization of the preautophagosomal structure/phagophore assembly site (PAS), the nucleating site for formation of the sequestering vesicle (By similarity).

    Aliases: APG9 like 2 antibody, APG9-like 2 antibody, Apg912 antibody, APG9L2 antibody, Apgdc2 antibody, ATG9 autophagy related 9 homolog B (S. cerevisiae) antibody, Atg9b antibody, ATG9B_HUMAN antibody, Autophagy 9 like 2 protein antibody, Autophagy related protein 9B antibody, Autophagy-related protein 9B antibody, Endothelial nitric oxide synthase antisense antibody, eONE antibody, Gm574 antibody, Nitric oxide synthase 3 antisense antibody, Nitric oxide synthase 3 overlapping antisense gene protein antibody, Nitric oxide synthase 3-overlapping antisense gene protein antibody, NOS3AS antibody, Protein sONE antibody, SONE antibody

    UniProt

    Q674R7
You are here:
Chat with us!