Phone:
+1 877 302 8632
Fax:
+1 888 205 9894 (Toll-free)
E-Mail:
orders@antibodies-online.com

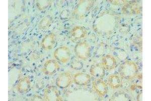
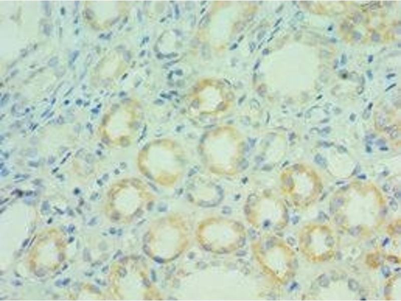
BCL7C antibody (AA 58-217)

The Rabbit Polyclonal anti-BCL7C antibody (ABIN7145149) specifically detects BCL7C in ELISA and IHC. The antibody is reactive with Human samples.
Catalog No. ABIN7145149
$394.68
Plus shipping costs $50.00
Shipping to: United States
Delivery in 13 to 17 Business Days

Quick Overview for BCL7C antibody (AA 58-217) (ABIN7145149)

Target

See all BCL7C Antibodies
BCL7C (B-Cell CLL/lymphoma 7C (BCL7C))

Reactivity

  • 40
  • 20
  • 17
Human

Host

  • 37
  • 3
Rabbit

Clonality

  • 38
  • 2
Polyclonal

Conjugate

  • 14
  • 2
  • 2
  • 2
  • 2
  • 1
  • 1
  • 1
  • 1
  • 1
  • 1
  • 1
  • 1
  • 1
  • 1
  • 1
  • 1
  • 1
  • 1
  • 1
  • 1
  • 1
  • 1
This BCL7C antibody is un-conjugated

Application

  • 34
  • 13
  • 12
  • 5
  • 2
  • 1
  • 1
ELISA, Immunohistochemistry (IHC)
  • Binding Specificity

    • 8
    • 2
    • 2
    • 1
    • 1
    • 1
    • 1
    AA 58-217

    Purpose

    BCL7C Antibody

    Purification

    Antigen Affinity Purified

    Immunogen

    Recombinant Human B-cell CLL/lymphoma 7 protein family member C protein (58-217AA)

    Isotype

    IgG
  • Application Notes

    Optimal working dilution should be determined by the investigator.

    Restrictions

    For Research Use only
  • Format

    Liquid

    Buffer

    PBS with 0.02 % sodium azide, 50 % glycerol, pH 7.3.

    Preservative

    Sodium azide

    Precaution of Use

    This product contains Sodium azide: a POISONOUS AND HAZARDOUS SUBSTANCE which should be handled by trained staff only.

    Storage

    -20 °C,-80 °C

    Storage Comment

    Upon receipt, store at -20°C or -80°C. Avoid repeated freeze.
  • Target

    BCL7C (B-Cell CLL/lymphoma 7C (BCL7C))

    Alternative Name

    BCL7C

    Background

    Background: May play an anti-apoptotic role.

    Aliases: B cell CLL/lymphoma 7 protein family member C antibody, B cell CLL/lymphoma 7C antibody, B-cell CLL/lymphoma 7 protein family member C antibody, BCL 7C antibody, Bcl7c antibody, BCL7C_HUMAN antibody

    UniProt

    Q8WUZ0
You are here:
Chat with us!