Phone:
+1 877 302 8632
Fax:
+1 888 205 9894 (Toll-free)
E-Mail:
orders@antibodies-online.com

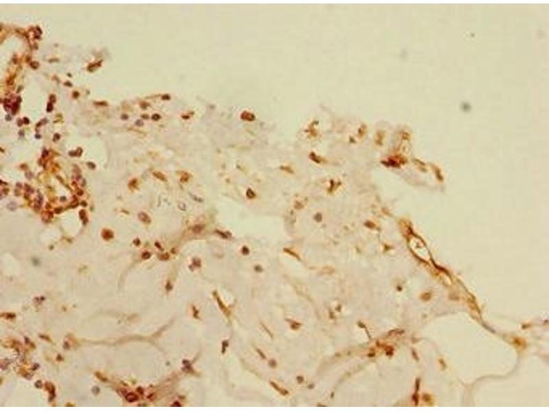
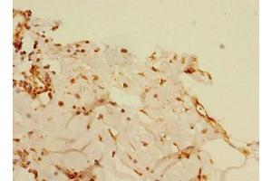
BLID antibody (AA 1-108)

The Rabbit Polyclonal anti-BLID antibody (ABIN7145551) specifically detects BLID in ELISA and IHC. The antibody is reactive with Human samples.
Catalog No. ABIN7145551
$394.68
Plus shipping costs $50.00
Shipping to: United States
Delivery in 13 to 17 Business Days

Quick Overview for BLID antibody (AA 1-108) (ABIN7145551)

Target

See all BLID Antibodies
BLID (BH3-Like Motif Containing, Cell Death Inducer (BLID))

Reactivity

  • 6
  • 1
  • 1
Human

Host

  • 4
  • 2
Rabbit

Clonality

  • 4
  • 2
Polyclonal

Conjugate

  • 6
This BLID antibody is un-conjugated

Application

  • 5
  • 5
  • 3
ELISA, Immunohistochemistry (IHC)
  • Binding Specificity

    • 2
    • 2
    • 1
    AA 1-108

    Purpose

    BLID Antibody

    Purification

    Antigen Affinity Purified

    Immunogen

    Recombinant Human BH3-like motif-containing cell death inducer protein (1-108AA)

    Isotype

    IgG
  • Application Notes

    Optimal working dilution should be determined by the investigator.

    Restrictions

    For Research Use only
  • Format

    Liquid

    Buffer

    PBS with 0.02 % sodium azide, 50 % glycerol, pH 7.3.

    Preservative

    Sodium azide

    Precaution of Use

    This product contains Sodium azide: a POISONOUS AND HAZARDOUS SUBSTANCE which should be handled by trained staff only.

    Storage

    -20 °C,-80 °C

    Storage Comment

    Upon receipt, store at -20°C or -80°C. Avoid repeated freeze.
  • Target

    BLID (BH3-Like Motif Containing, Cell Death Inducer (BLID))

    Alternative Name

    BLID

    Background

    Background: Functions as a proapoptotic molecule through the caspase-dependent mitochondrial pathway of cell death.

    Aliases: BH3-like motif containing, cell death inducer antibody, BH3-like motif-containing cell death inducer antibody, BLID antibody, BLID_HUMAN antibody, BRCC2 antibody, breast cancer cell 2 antibody, Breast cancer cell protein 2 antibody

    UniProt

    Q8IZY5
You are here:
Chat with us!