Phone:
+1 877 302 8632
Fax:
+1 888 205 9894 (Toll-free)
E-Mail:
orders@antibodies-online.com

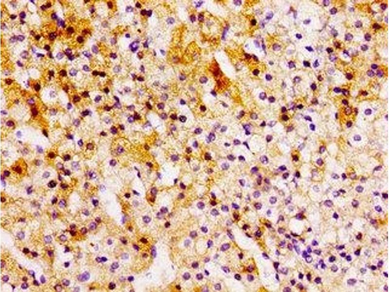
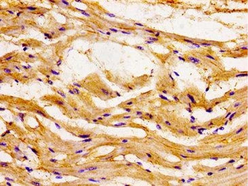
CCL15 antibody (AA 22-113)

The Rabbit Polyclonal anti-CCL15 antibody is suitable to detect CCL15 in samples from Human. It has been validated for ELISA and IHC.
Catalog No. ABIN7145958
$394.68
Plus shipping costs $50.00
Shipping to: United States
Delivery in 13 to 17 Business Days

Quick Overview for CCL15 antibody (AA 22-113) (ABIN7145958)

Target

See all CCL15 Antibodies
CCL15 (Chemokine (C-C Motif) Ligand 15 (CCL15))

Reactivity

Human

Host

  • 31
  • 7
  • 6
  • 1
  • 1
Rabbit

Clonality

  • 40
  • 6
Polyclonal

Conjugate

  • 25
  • 7
  • 3
  • 2
  • 2
  • 1
  • 1
  • 1
  • 1
  • 1
  • 1
  • 1
This CCL15 antibody is un-conjugated

Application

  • 31
  • 23
  • 17
  • 5
  • 4
  • 4
  • 3
  • 2
  • 2
  • 2
  • 1
  • 1
  • 1
ELISA, Immunohistochemistry (IHC)
  • Binding Specificity

    • 8
    • 8
    • 3
    • 2
    • 2
    • 2
    • 1
    • 1
    • 1
    • 1
    • 1
    AA 22-113

    Purpose

    CCL15 Antibody

    Purification

    Protein G purified

    Purity

    >95 %

    Immunogen

    Recombinant Human C-C motif chemokine 15 protein (22-113AA)

    Isotype

    IgG
  • Application Notes

    Optimal working dilution should be determined by the investigator.

    Restrictions

    For Research Use only
  • Format

    Liquid

    Buffer

    Preservative: 0.03 % Proclin 300
    Constituents: 50 % Glycerol, 0.01M PBS, pH 7.4

    Preservative

    ProClin

    Precaution of Use

    This product contains ProClin: a POISONOUS AND HAZARDOUS SUBSTANCE which should be handled by trained staff only.

    Storage

    -20 °C,-80 °C

    Storage Comment

    Upon receipt, store at -20°C or -80°C. Avoid repeated freeze.
  • Target

    CCL15 (Chemokine (C-C Motif) Ligand 15 (CCL15))

    Alternative Name

    CCL15

    Background

    Background: Chemotactic factor that attracts T-cells and monocytes, but not neutrophils, eosinophils, or B-cells. Acts mainly via CC chemokine receptor CCR1. Also binds to CCR3. CCL15(22-92), CCL15(25-92) and CCL15(29-92) are more potent chemoattractants than the small-inducible cytokine A15.

    Aliases: C-C motif chemokine 15 antibody, C-C motif chemokine ligand 15 antibody, CC chemokine 3 antibody, CCL15 antibody, CCL15(29-92) antibody, CCL15_HUMAN antibody, Chemokine (C C motif) ligand 15 antibody, Chemokine CC-2 antibody, Chemokine CC2 antibody, HCC-2 antibody, HCC2 antibody, HMRP 2B antibody, HMRP2B antibody, Leukotactin 1 antibody, Leukotactin-1 antibody, LKN-1 antibody, LKN1 antibody, Macrophage inflammatory protein 5 antibody, MIP 1D antibody, MIP-1 delta antibody, MIP-1D antibody, MIP-5 antibody, MIP1 delta antibody, MIP1d antibody, MIP5 antibody, MRP 2B antibody, Mrp-2b antibody, Mrp2b antibody, NCC 3 antibody, NCC-3 antibody, NCC3 antibody, New CC chemokine 3 antibody, OTTHUMP00000163955 antibody, SCYA15 antibody, SCYL3 antibody, Small inducible cytokine A15 antibody, Small inducible cytokine subfamily A (Cys Cys), member 15 antibody, Small-inducible cytokine A15 antibody, SY15 antibody

    UniProt

    Q16663
You are here:
Chat with us!