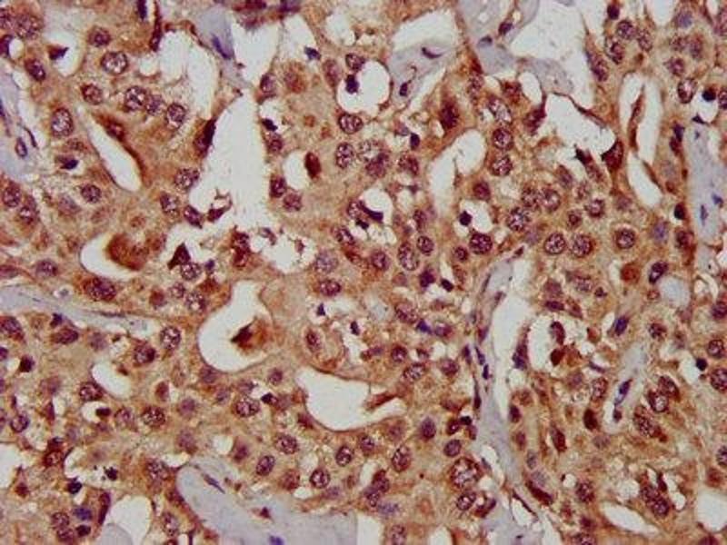
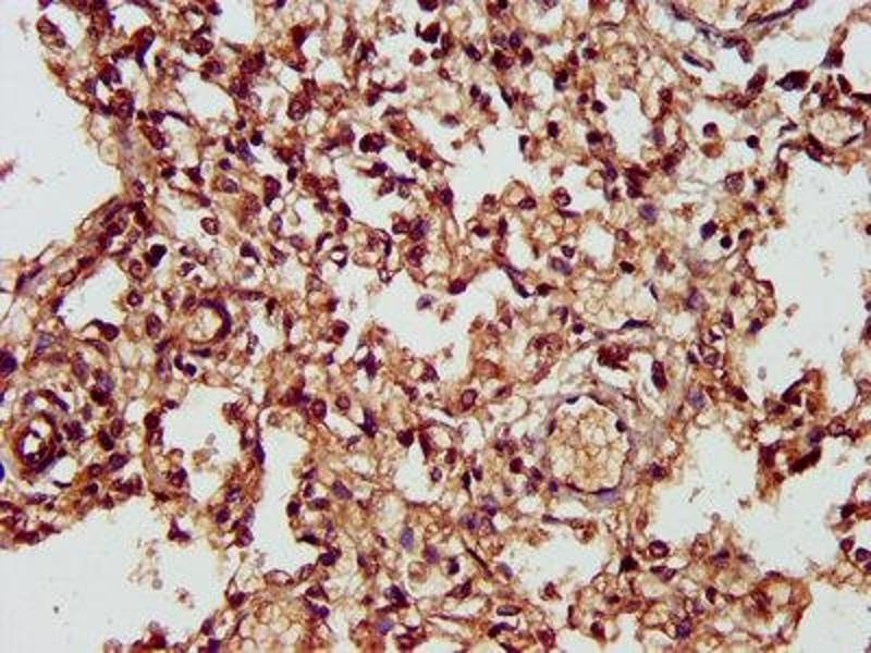
CHST11 antibody (AA 214-330)
Quick Overview for CHST11 antibody (AA 214-330) (ABIN7146680)
Target
See all CHST11 AntibodiesReactivity
Host
Clonality
Conjugate
Application
-
-
Binding Specificity
- AA 214-330
-
Purpose
- CHST11 Antibody
-
Purification
- Protein G purified
-
Purity
- >95 %
-
Immunogen
- Recombinant Human Carbohydrate sulfotransferase 11 protein (214-330AA)
-
Isotype
- IgG
-
-
-
-
Application Notes
- Optimal working dilution should be determined by the investigator.
-
Restrictions
- For Research Use only
-
-
-
Format
- Liquid
-
Buffer
-
Preservative: 0.03 % Proclin 300
Constituents: 50 % Glycerol, 0.01M PBS, pH 7.4 -
Preservative
- ProClin
-
Precaution of Use
- This product contains ProClin: a POISONOUS AND HAZARDOUS SUBSTANCE which should be handled by trained staff only.
-
Storage
- -20 °C,-80 °C
-
Storage Comment
- Upon receipt, store at -20°C or -80°C. Avoid repeated freeze.
-
-
- CHST11 (Carbohydrate (Chondroitin 4) Sulfotransferase 11 (CHST11))
-
Alternative Name
- CHST11
-
Background
-
Background: Catalyzes the transfer of sulfate to position 4 of the N-acetylgalactosamine (GalNAc) residue of chondroitin. Chondroitin sulfate constitutes the predominant proteoglycan present in cartilage and is distributed on the surfaces of many cells and extracellular matrices. Can also sulfate Gal residues in desulfated dermatan sulfate. Preferentially sulfates in GlcA->GalNAc unit than in IdoA->GalNAc unit. Does not form 4, 6-di-O-sulfated GalNAc when chondroitin sulfate C is used as an acceptor.
Aliases: C4S-1 antibody, C4ST 1 antibody, C4ST antibody, C4ST-1 antibody, C4ST1 antibody, Carbohydrate (chondroitin 4) sulfotransferase 11 antibody, Carbohydrate sulfotransferase 11 antibody, Chondroitin 4 O sulfotransferase 1 antibody, Chondroitin 4 sulfotransferase antibody, Chondroitin 4-O-sulfotransferase 1 antibody, Chondroitin 4-sulfotransferase 1 antibody, CHST 11 antibody, Chst11 antibody, CHSTB_HUMAN antibody, HSA269537 antibody, IgH/CHST11 fusion antibody
-
UniProt
- Q9NPF2
-
Pathways
- Glycosaminoglycan Metabolic Process
Target
-