Phone:
+1 877 302 8632
Fax:
+1 888 205 9894 (Toll-free)
E-Mail:
orders@antibodies-online.com

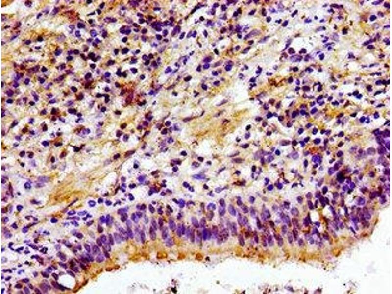
Choline Kinase alpha antibody (AA 79-173)

This Rabbit Polyclonal antibody specifically detects Choline Kinase alpha in WB, ELISA, IHC and IF. It exhibits reactivity toward Human.
Catalog No. ABIN7147616
$394.68
Plus shipping costs $50.00
Shipping to: United States
Delivery in 13 to 17 Business Days

Quick Overview for Choline Kinase alpha antibody (AA 79-173) (ABIN7147616)

Target

See all Choline Kinase alpha (CHKA) Antibodies
Choline Kinase alpha (CHKA)

Reactivity

  • 32
  • 13
  • 7
  • 6
  • 2
  • 2
  • 2
  • 2
  • 1
  • 1
  • 1
Human

Host

  • 38
  • 3
Rabbit

Clonality

  • 41
Polyclonal

Conjugate

  • 22
  • 8
  • 4
  • 3
  • 2
  • 2
This Choline Kinase alpha antibody is un-conjugated

Application

  • 35
  • 27
  • 9
  • 5
  • 4
  • 4
  • 3
  • 2
  • 2
  • 2
Western Blotting (WB), ELISA, Immunohistochemistry (IHC), Immunofluorescence (IF)
  • Binding Specificity

    • 7
    • 6
    • 4
    • 4
    • 2
    • 1
    • 1
    • 1
    • 1
    AA 79-173

    Purpose

    CHKA Antibody

    Purification

    Protein G purified

    Purity

    >95 %

    Immunogen

    Recombinant Human Choline kinase alpha protein (79-173AA)

    Isotype

    IgG
  • Application Notes

    Optimal working dilution should be determined by the investigator.

    Restrictions

    For Research Use only
  • Format

    Liquid

    Buffer

    Preservative: 0.03 % Proclin 300
    Constituents: 50 % Glycerol, 0.01M PBS, pH 7.4

    Preservative

    ProClin

    Precaution of Use

    This product contains ProClin: a POISONOUS AND HAZARDOUS SUBSTANCE which should be handled by trained staff only.

    Storage

    -20 °C,-80 °C

    Storage Comment

    Upon receipt, store at -20°C or -80°C. Avoid repeated freeze.
  • Target

    Choline Kinase alpha (CHKA)

    Alternative Name

    CHKA

    Background

    Background: Has a key role in phospholipid biosynthesis and may contribute to tumor cell growth. Catalyzes the first step in phosphatidylcholine biosynthesis. Contributes to phosphatidylethanolamine biosynthesis. Phosphorylates choline and ethanolamine. Has higher activity with choline.

    Aliases: CHKA antibody, CHK antibody, CKI antibody, Choline kinase alpha antibody, CK antibody, EC 2.7.1.32 antibody, CHETK-alpha antibody, Ethanolamine kinase antibody, EK antibody, EC 2.7.1.82 antibody

    UniProt

    P35790
You are here:
Chat with us!