Phone:
+1 877 302 8632
Fax:
+1 888 205 9894 (Toll-free)
E-Mail:
orders@antibodies-online.com

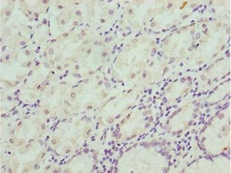
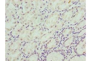
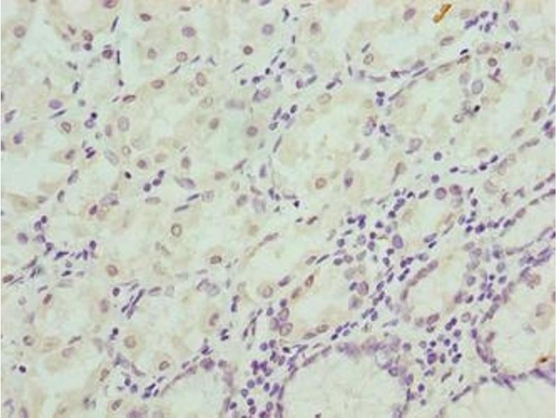
CIPC/KIAA1737 antibody (AA 1-399)

This Rabbit Polyclonal antibody specifically detects CIPC/KIAA1737 in ELISA, WB and IHC. It exhibits reactivity toward Human.
Catalog No. ABIN7147940
$394.68
Plus shipping costs $50.00
Shipping to: United States
Delivery in 13 to 17 Business Days

Quick Overview for CIPC/KIAA1737 antibody (AA 1-399) (ABIN7147940)

Target

CIPC/KIAA1737 (CIPC) (CLOCK Interacting Pacemaker (CIPC))

Reactivity

  • 6
  • 2
Human

Host

  • 6
Rabbit

Clonality

  • 6
Polyclonal

Conjugate

  • 2
  • 2
  • 1
  • 1
This CIPC/KIAA1737 antibody is un-conjugated

Application

ELISA, Western Blotting (WB), Immunohistochemistry (IHC)
  • Binding Specificity

    • 5
    • 1
    AA 1-399

    Purpose

    CIPC Antibody

    Cross-Reactivity

    Mouse

    Purification

    Protein G purified

    Purity

    >95 %

    Immunogen

    Recombinant Human CLOCK-interacting pacemaker protein (1-399AA)

    Isotype

    IgG
  • Application Notes

    Optimal working dilution should be determined by the investigator.

    Restrictions

    For Research Use only
  • Format

    Liquid

    Buffer

    Preservative: 0.03 % Proclin 300
    Constituents: 50 % Glycerol, 0.01M PBS, PH 7.4

    Preservative

    ProClin

    Precaution of Use

    This product contains ProClin: a POISONOUS AND HAZARDOUS SUBSTANCE which should be handled by trained staff only.

    Storage

    -20 °C,-80 °C

    Storage Comment

    Upon receipt, store at -20°C or -80°C. Avoid repeated freeze.
  • Target

    CIPC/KIAA1737 (CIPC) (CLOCK Interacting Pacemaker (CIPC))

    Alternative Name

    CIPC

    Background

    Background: Transcriptional repressor which acts as a negative-feedback regulator of CLOCK-ARNTL/BMAL1 transcriptional activity in the circadian-clock mechanism. Stimulates ARNTL/BMAL1-dependent phosphorylation of CLOCK.

    Aliases: CIPC antibody, KIAA1737CLOCK-interacting pacemaker antibody, CLOCK-interacting circadian protein antibody

    UniProt

    Q9C0C6
You are here:
Chat with us!