Phone:
+1 877 302 8632
Fax:
+1 888 205 9894 (Toll-free)
E-Mail:
orders@antibodies-online.com

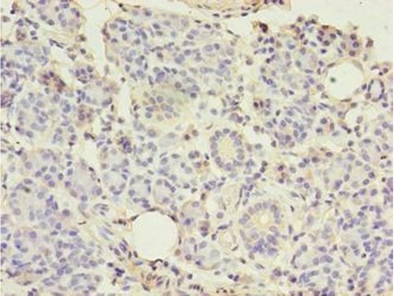
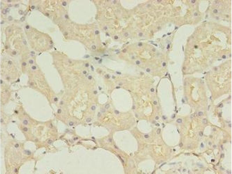
TMEM27 antibody (AA 15-141)

The Rabbit Polyclonal anti-TMEM27 antibody (ABIN7148290) specifically detects TMEM27 in IHC, ELISA and IF. The antibody is reactive with Human samples.
Catalog No. ABIN7148290
$394.68
Plus shipping costs $50.00
Shipping to: United States
Delivery in 13 to 17 Business Days

Quick Overview for TMEM27 antibody (AA 15-141) (ABIN7148290)

Target

See all TMEM27 Antibodies
TMEM27 (Transmembrane Protein 27 (TMEM27))

Reactivity

  • 16
  • 7
  • 6
Human

Host

  • 14
  • 9
  • 2
Rabbit

Clonality

  • 18
  • 7
Polyclonal

Conjugate

  • 17
  • 5
  • 2
  • 1
This TMEM27 antibody is un-conjugated

Application

  • 21
  • 14
  • 8
  • 8
  • 5
  • 3
  • 1
Immunohistochemistry (IHC), ELISA, Immunofluorescence (IF)
  • Binding Specificity

    • 5
    • 4
    • 2
    • 2
    • 2
    • 1
    • 1
    AA 15-141

    Purpose

    TMEM27 Antibody

    Purification

    Protein G purified

    Purity

    >95 %

    Immunogen

    Recombinant Human Collectrin protein (15-141AA)

    Isotype

    IgG
  • Application Notes

    Optimal working dilution should be determined by the investigator.

    Restrictions

    For Research Use only
  • Format

    Liquid

    Buffer

    Preservative: 0.03 % Proclin 300
    Constituents: 50 % Glycerol, 0.01M PBS, PH 7.4

    Preservative

    ProClin

    Precaution of Use

    This product contains ProClin: a POISONOUS AND HAZARDOUS SUBSTANCE which should be handled by trained staff only.

    Storage

    -20 °C,-80 °C

    Storage Comment

    Upon receipt, store at -20°C or -80°C. Avoid repeated freeze.
  • Target

    TMEM27 (Transmembrane Protein 27 (TMEM27))

    Alternative Name

    TMEM27

    Background

    Background: Regulator of SNARE complex function. Stimulator of beta cell replication.

    Aliases: UNQ679 antibody, Collectrin antibody, kidney-specific membrane protein antibody, NX-17 antibody, NX17 antibody, PRO1312 antibody, Tmem27 antibody, TMM27_HUMAN antibody, Transmembrane protein 27 antibody, UNQ679/PRO1312 antibody

    UniProt

    Q9HBJ8
You are here:
Chat with us!