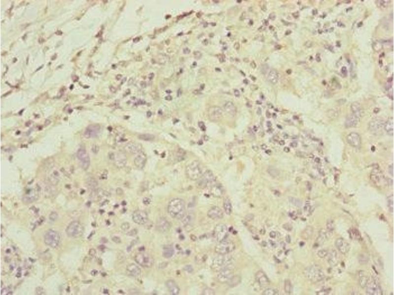
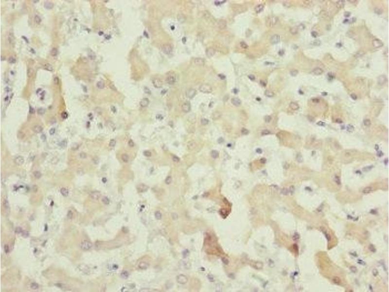
C8A antibody (AA 310-460)
Quick Overview for C8A antibody (AA 310-460) (ABIN7148369)
Target
See all C8A AntibodiesReactivity
Host
Clonality
Conjugate
Application
-
-
Binding Specificity
- AA 310-460
-
Purpose
- C8A Antibody
-
Purification
- Antigen Affinity Purified
-
Immunogen
- Recombinant Human Complement component C8 alpha chain protein (310-460AA)
-
Isotype
- IgG
-
-
-
-
Application Notes
- Optimal working dilution should be determined by the investigator.
-
Restrictions
- For Research Use only
-
-
-
Format
- Liquid
-
Buffer
- PBS with 0.02 % sodium azide, 50 % glycerol, pH 7.3.
-
Preservative
- Sodium azide
-
Precaution of Use
- This product contains Sodium azide: a POISONOUS AND HAZARDOUS SUBSTANCE which should be handled by trained staff only.
-
Storage
- -20 °C,-80 °C
-
Storage Comment
- Upon receipt, store at -20°C or -80°C. Avoid repeated freeze.
-
-
- C8A (Complement Component 8, alpha Polypeptide (C8A))
-
Alternative Name
- C8A
-
Background
-
Background: Constituent of the membrane attack complex (MAC) that plays a key role in the innate and adaptive immune response by forming pores in the plasma membrane of target cells. C8A inserts into the target membrane, but does not form pores by itself.
Aliases: C8A antibody, CO8A_HUMAN antibody, Complement component 8 subunit alpha antibody, Complement component 8, alpha polypeptide antibody, Complement component C8 alpha chain antibody
-
UniProt
- P07357
-
Pathways
- Complement System
Target
-