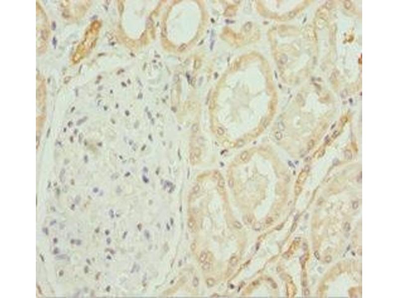
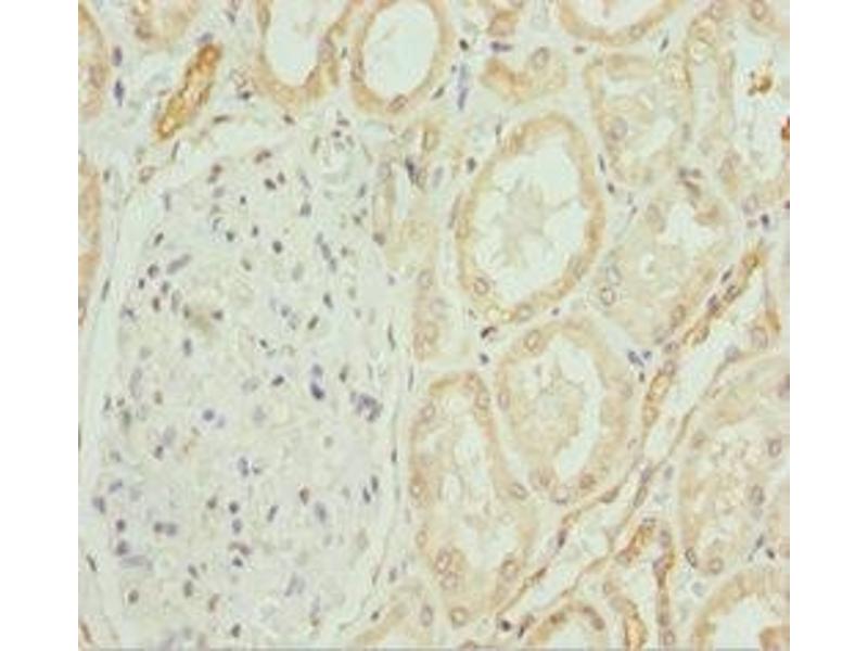
COG4 antibody (AA 506-785)
Quick Overview for COG4 antibody (AA 506-785) (ABIN7148457)
Target
See all COG4 AntibodiesReactivity
Host
Clonality
Conjugate
Application
-
-
Binding Specificity
- AA 506-785
-
Purpose
- COG4 Antibody
-
Purification
- Antigen Affinity Purified
-
Immunogen
- Recombinant Human Conserved oligomeric Golgi complex subunit 4 protein (506-785AA)
-
Isotype
- IgG
-
-
-
-
Application Notes
- Optimal working dilution should be determined by the investigator.
-
Restrictions
- For Research Use only
-
-
-
Format
- Liquid
-
Buffer
- PBS with 0.02 % sodium azide, 50 % glycerol, pH 7.3.
-
Preservative
- Sodium azide
-
Precaution of Use
- This product contains Sodium azide: a POISONOUS AND HAZARDOUS SUBSTANCE which should be handled by trained staff only.
-
Storage
- -20 °C,-80 °C
-
Storage Comment
- Upon receipt, store at -20°C or -80°C. Avoid repeated freeze.
-
-
- COG4 (Component of Oligomeric Golgi Complex 4 (COG4))
-
Alternative Name
- COG4
-
Background
-
Background: Required for normal Golgi function. Plays a role in SNARE-pin assembly and Golgi-to-ER retrograde transport via its interaction with SCFD1.
Aliases: COG4Conserved oligomeric Golgi complex subunit 4 antibody, COG complex subunit 4 antibody, Component of oligomeric Golgi complex 4 antibody
-
UniProt
- Q9H9E3
Target
-