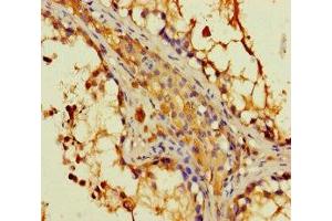
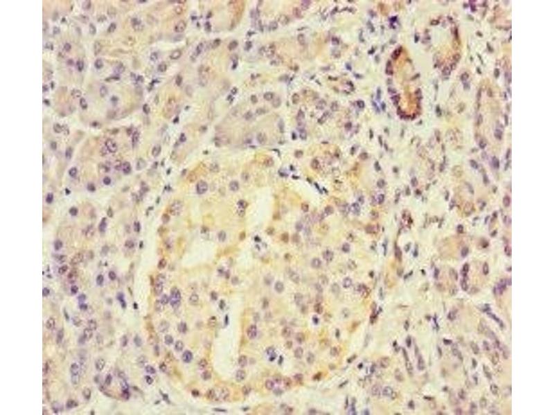
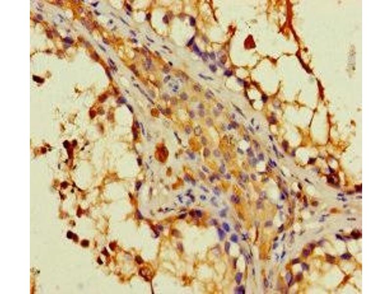
DAPL1 antibody (AA 1-107)
Quick Overview for DAPL1 antibody (AA 1-107) (ABIN7149562)
Target
See all DAPL1 AntibodiesReactivity
Host
Clonality
Conjugate
Application
-
-
Binding Specificity
- AA 1-107
-
Purpose
- DAPL1 Antibody
-
Purification
- Protein G purified
-
Purity
- >95 %
-
Immunogen
- Recombinant Human Death-associated protein-like 1 protein (1-107AA)
-
Isotype
- IgG
-
-
-
-
Application Notes
- Optimal working dilution should be determined by the investigator.
-
Restrictions
- For Research Use only
-
-
-
Format
- Liquid
-
Buffer
-
Preservative: 0.03 % Proclin 300
Constituents: 50 % Glycerol, 0.01M PBS, PH 7.4 -
Preservative
- ProClin
-
Precaution of Use
- This product contains ProClin: a POISONOUS AND HAZARDOUS SUBSTANCE which should be handled by trained staff only.
-
Storage
- -20 °C,-80 °C
-
Storage Comment
- Upon receipt, store at -20°C or -80°C. Avoid repeated freeze.
-
-
- DAPL1 (Death-Associated Protein-Like 1 (DAPL1))
-
Alternative Name
- DAPL1
-
Background
-
Background: May play a role in the early stages of epithelial differentiation or in apoptosis.
Aliases: dapL1 antibody, DAPL1_HUMAN antibody, death associated protein-like 1 antibody, Death-associated protein-like 1 antibody, Early epithelial differentiation-associated protein antibody, EEDA antibody, RP23-151F21.4 antibody
-
UniProt
- A0PJW8
Target
-