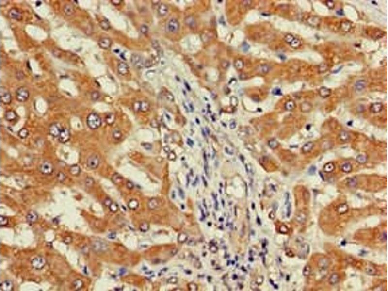
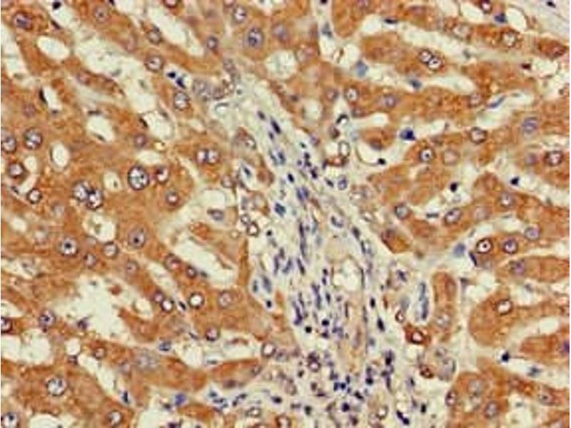
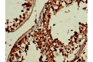
DEPDC1B antibody (AA 343-529)
Quick Overview for DEPDC1B antibody (AA 343-529) (ABIN7149738)
Target
Reactivity
Host
Clonality
Conjugate
Application
-
-
Binding Specificity
- AA 343-529
-
Purpose
- DEPDC1B Antibody
-
Purification
- Protein G purified
-
Purity
- >95 %
-
Immunogen
- Recombinant Human DEP domain-containing protein 1B protein (343-529AA)
-
Isotype
- IgG
-
-
-
-
Application Notes
- Optimal working dilution should be determined by the investigator.
-
Restrictions
- For Research Use only
-
-
-
Format
- Liquid
-
Buffer
-
Preservative: 0.03 % Proclin 300
Constituents: 50 % Glycerol, 0.01M PBS, pH 7.4 -
Preservative
- ProClin
-
Precaution of Use
- This product contains ProClin: a POISONOUS AND HAZARDOUS SUBSTANCE which should be handled by trained staff only.
-
Storage
- -20 °C,-80 °C
-
Storage Comment
- Upon receipt, store at -20°C or -80°C. Avoid repeated freeze.
-
-
- DEPDC1B (DEP Domain Containing 1B (DEPDC1B))
-
Alternative Name
- DEPDC1B
-
Background
-
Background: cytosol, GTPase activator activity, cell migration, positive regulation of Wnt signaling pathway, regulation of small GTPase mediated signal transduction
Aliases: DEPDC1B antibody, XTP8 antibody, DEP domain-containing protein 1B antibody, HBV X-transactivated gene 8 protein antibody, HBV XAg-transactivated protein 8 antibody
-
UniProt
- Q8WUY9
Target
-