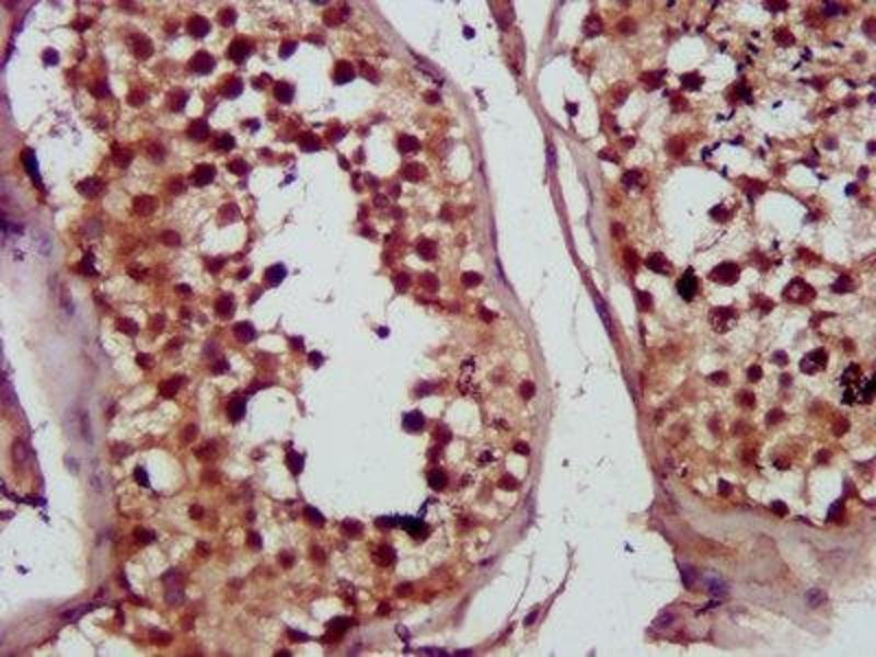
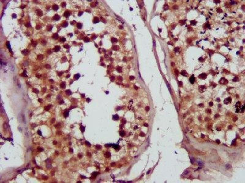
MVD antibody (AA 69-221)
Quick Overview for MVD antibody (AA 69-221) (ABIN7149997)
Target
See all MVD AntibodiesReactivity
Host
Clonality
Conjugate
Application
-
-
Binding Specificity
- AA 69-221
-
Purpose
- MVD Antibody
-
Cross-Reactivity
- Rat
-
Purification
- Protein G purified
-
Purity
- >95 %
-
Immunogen
- Recombinant Human Diphosphomevalonate decarboxylase protein (69-221AA)
-
Isotype
- IgG
-
-
-
-
Application Notes
- Optimal working dilution should be determined by the investigator.
-
Restrictions
- For Research Use only
-
-
-
Format
- Liquid
-
Buffer
-
Preservative: 0.03 % Proclin 300
Constituents: 50 % Glycerol, 0.01M PBS, pH 7.4 -
Preservative
- ProClin
-
Precaution of Use
- This product contains ProClin: a POISONOUS AND HAZARDOUS SUBSTANCE which should be handled by trained staff only.
-
Storage
- -20 °C,-80 °C
-
Storage Comment
- Upon receipt, store at -20°C or -80°C. Avoid repeated freeze.
-
-
- MVD (Mevalonate (Diphospho) Decarboxylase (MVD))
-
Alternative Name
- MVD
-
Background
-
Background: Performs the first committed step in the biosynthesis of isoprenes.
Aliases: Diphosphomevalonate decarboxylase antibody, FP17780 antibody, MDDase antibody, Mevalonate (diphospho) decarboxylase antibody, Mevalonate (diphospho)decarboxylase antibody, Mevalonate pyrophosphate decarboxylase antibody, MPD antibody, Mvd antibody, MVD1_HUMAN antibody
-
UniProt
- P53602
Target
-