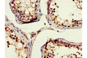
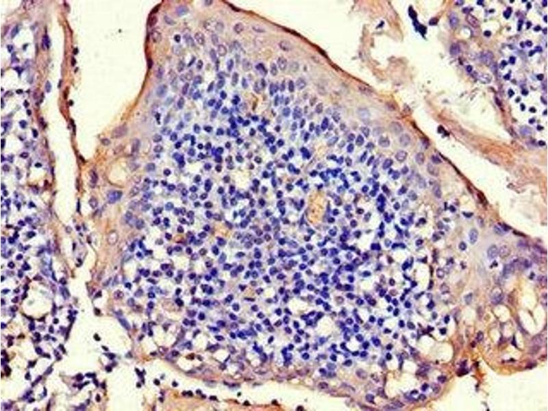
RAD54B antibody (AA 1-167)
Quick Overview for RAD54B antibody (AA 1-167) (ABIN7150275)
Target
See all RAD54B AntibodiesReactivity
Host
Clonality
Conjugate
Application
-
-
Binding Specificity
- AA 1-167
-
Purpose
- RAD54B Antibody
-
Purification
- Protein G purified
-
Purity
- >95 %
-
Immunogen
- Recombinant Human DNA repair and recombination protein RAD54B protein (1-167AA)
-
Isotype
- IgG
-
-
-
-
Application Notes
- Optimal working dilution should be determined by the investigator.
-
Restrictions
- For Research Use only
-
-
-
Format
- Liquid
-
Buffer
-
Preservative: 0.03 % Proclin 300
Constituents: 50 % Glycerol, 0.01M PBS, PH 7.4 -
Preservative
- ProClin
-
Precaution of Use
- This product contains ProClin: a POISONOUS AND HAZARDOUS SUBSTANCE which should be handled by trained staff only.
-
Storage
- -20 °C,-80 °C
-
Storage Comment
- Upon receipt, store at -20°C or -80°C. Avoid repeated freeze.
-
-
- RAD54B (DNA repair and recombination protein RAD54B (RAD54B))
-
Alternative Name
- RAD54B
-
Background
-
Background: Involved in DNA repair and mitotic recombination. May play an active role in recombination processes in concert with other members of the RAD52 epistasis group.
Aliases: RAD54B antibody, DNA repair and recombination protein RAD54B antibody, EC 3.6.4.- antibody, RAD54 homolog B antibody
-
UniProt
- Q9Y620
Target
-