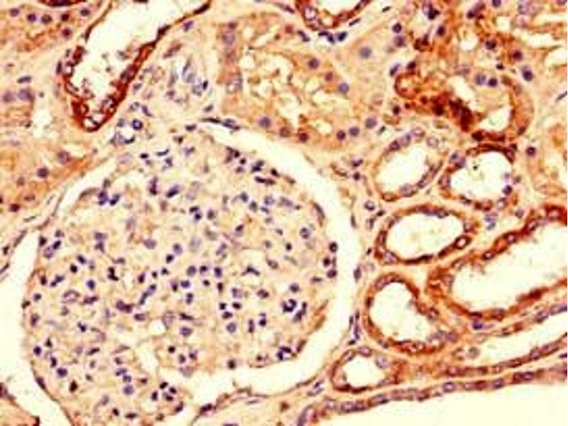
Dual Specificity Phosphatase 3 (DUSP3) (AA 14-96) antibody
Quick Overview for Dual Specificity Phosphatase 3 (DUSP3) (AA 14-96) antibody (ABIN7150769)
Target
See all Dual Specificity Phosphatase 3 (DUSP3) AntibodiesReactivity
Host
Clonality
Conjugate
Application
-
-
Binding Specificity
- AA 14-96
-
Purpose
- DUSP3 Antibody
-
Purification
- Protein G purified
-
Purity
- >95 %
-
Immunogen
- Recombinant Human Dual specificity protein phosphatase 3 protein (14-96AA)
-
Isotype
- IgG
-
-
-
-
Application Notes
- Optimal working dilution should be determined by the investigator.
-
Restrictions
- For Research Use only
-
-
-
Format
- Liquid
-
Buffer
-
Preservative: 0.03 % Proclin 300
Constituents: 50 % Glycerol, 0.01M PBS, PH 7.4 -
Preservative
- ProClin
-
Precaution of Use
- This product contains ProClin: a POISONOUS AND HAZARDOUS SUBSTANCE which should be handled by trained staff only.
-
Storage
- -20 °C,-80 °C
-
Storage Comment
- Upon receipt, store at -20°C or -80°C. Avoid repeated freeze.
-
-
- Dual Specificity Phosphatase 3 (DUSP3)
-
Alternative Name
- DUSP3
-
Target Type
- Viral Protein
-
Background
-
Background: Shows activity both for tyrosine-protein phosphate and serine-protein phosphate, but displays a strong preference toward phosphotyrosines. Specifically dephosphorylates and inactivates ERK1 and ERK2.
Aliases: Dual specificity phosphatase 3 antibody, Dual specificity protein phosphatase 3 antibody, Dual specificity protein phosphatase VHR antibody, DUS3_HUMAN antibody, DUSP3 antibody, Serine/threonine specific protein phosphatase antibody, Vaccinia H1-related phosphatase antibody, Vaccinia virus phosphatase VH1 related antibody, VHR antibody
-
UniProt
- P51452
-
Pathways
- Neurotrophin Signaling Pathway, Activation of Innate immune Response, Toll-Like Receptors Cascades
Target
-