Phone:
+1 877 302 8632
Fax:
+1 888 205 9894 (Toll-free)
E-Mail:
orders@antibodies-online.com

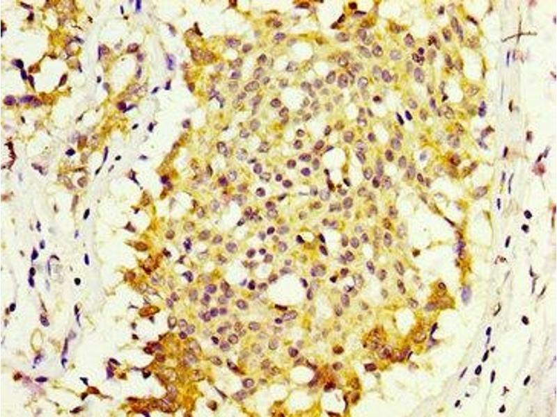
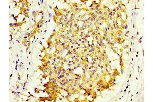
MKRN1 antibody (AA 109-209)

The Rabbit Polyclonal anti-MKRN1 antibody (ABIN7151059) specifically detects MKRN1 in ELISA and IHC. The antibody is reactive with Human samples.
Catalog No. ABIN7151059
$394.68
Plus shipping costs $50.00
Shipping to: United States
Delivery in 13 to 17 Business Days

Quick Overview for MKRN1 antibody (AA 109-209) (ABIN7151059)

Target

See all MKRN1 Antibodies
MKRN1 (Makorin Ring Finger Protein 1 (MKRN1))

Reactivity

  • 30
  • 11
  • 8
  • 6
  • 5
  • 5
  • 4
  • 4
  • 3
  • 2
  • 2
  • 1
Human

Host

  • 25
  • 4
  • 1
Rabbit

Clonality

  • 26
  • 4
Polyclonal

Conjugate

  • 21
  • 3
  • 2
  • 2
  • 1
  • 1
This MKRN1 antibody is un-conjugated

Application

  • 24
  • 15
  • 3
  • 3
  • 2
  • 1
  • 1
ELISA, Immunohistochemistry (IHC)
  • Binding Specificity

    • 7
    • 5
    • 4
    • 3
    • 1
    • 1
    • 1
    • 1
    • 1
    • 1
    AA 109-209

    Purpose

    MKRN1 Antibody

    Purification

    Protein G purified

    Purity

    >95 %

    Immunogen

    Recombinant Human E3 ubiquitin-protein ligase makorin-1 protein (109-209AA)

    Isotype

    IgG
  • Application Notes

    Optimal working dilution should be determined by the investigator.

    Restrictions

    For Research Use only
  • Format

    Liquid

    Buffer

    Preservative: 0.03 % Proclin 300
    Constituents: 50 % Glycerol, 0.01M PBS, pH 7.4

    Preservative

    ProClin

    Precaution of Use

    This product contains ProClin: a POISONOUS AND HAZARDOUS SUBSTANCE which should be handled by trained staff only.

    Storage

    -20 °C,-80 °C

    Storage Comment

    Upon receipt, store at -20°C or -80°C. Avoid repeated freeze.
  • Target

    MKRN1 (Makorin Ring Finger Protein 1 (MKRN1))

    Alternative Name

    MKRN1

    Background

    Background: E3 ubiquitin ligase catalyzing the covalent attachment of ubiquitin moieties onto substrate proteins. These substrates include FILIP1, p53/TP53, CDKN1A and TERT. Keeps cells alive by suppressing p53/TP53 under normal conditions, but stimulates apoptosis by repressing CDKN1A under stress conditions. Acts as a negative regulator of telomerase. Has negative and positive effects on RNA polymerase II-dependent transcription.

    Aliases: E3 ubiquitin-protein ligase makorin-1 antibody, FLJ21334 antibody, HGNC:7112 antibody, Makorin antibody, Makorin ring finger protein 1 antibody, MKRN 1 antibody, mkrn1 antibody, MKRN1_HUMAN antibody, OTTHUMP00000212117 antibody, OTTHUMP00000212118 antibody, OTTHUMP00000212121 antibody, OTTHUMP00000212124 antibody, Ring finger protein 1 antibody, RING finger protein 61 antibody, RNF61 antibody

    UniProt

    Q9UHC7

    Pathways

    Chromatin Binding
You are here:
Chat with us!