Phone:
+1 877 302 8632
Fax:
+1 888 205 9894 (Toll-free)
E-Mail:
orders@antibodies-online.com

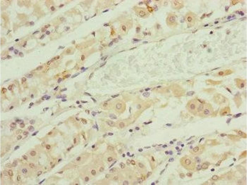
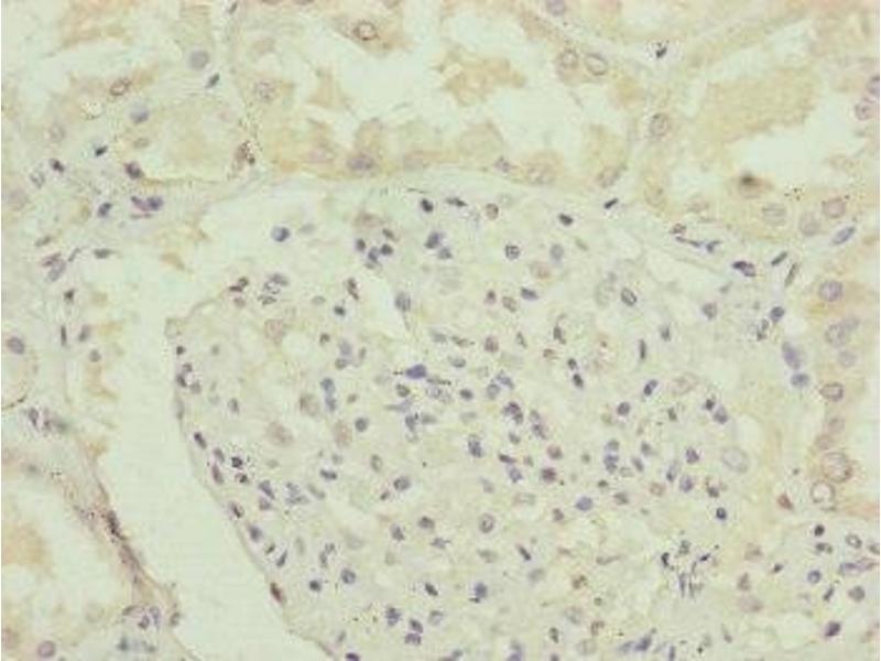
RNF135 antibody (AA 339-432)

The Rabbit Polyclonal anti-RNF135 antibody is suitable to detect RNF135 in samples from Human. It has been validated for WB, ELISA and IHC.
Catalog No. ABIN7151148
$394.68
Plus shipping costs $50.00
Shipping to: United States
Delivery in 13 to 17 Business Days

Quick Overview for RNF135 antibody (AA 339-432) (ABIN7151148)

Target

See all RNF135 Antibodies
RNF135 (Ring Finger Protein 135 (RNF135))

Reactivity

  • 34
  • 4
  • 3
  • 2
  • 1
  • 1
  • 1
  • 1
Human

Host

  • 33
  • 1
Rabbit

Clonality

  • 34
Polyclonal

Conjugate

  • 15
  • 2
  • 2
  • 2
  • 1
  • 1
  • 1
  • 1
  • 1
  • 1
  • 1
  • 1
  • 1
  • 1
  • 1
  • 1
  • 1
This RNF135 antibody is un-conjugated

Application

  • 34
  • 13
  • 13
  • 13
  • 3
  • 3
  • 1
Western Blotting (WB), ELISA, Immunohistochemistry (IHC)
  • Binding Specificity

    • 15
    • 8
    • 3
    • 2
    • 2
    • 1
    • 1
    • 1
    • 1
    • 1
    AA 339-432

    Purpose

    RNF135 Antibody

    Purification

    Antigen Affinity Purified

    Immunogen

    Recombinant Human E3 ubiquitin-protein ligase RNF135 protein (339-432AA)

    Isotype

    IgG
  • Application Notes

    Optimal working dilution should be determined by the investigator.

    Restrictions

    For Research Use only
  • Format

    Liquid

    Buffer

    PBS with 0.02 % sodium azide, 50 % glycerol, pH 7.3.

    Preservative

    Sodium azide

    Precaution of Use

    This product contains Sodium azide: a POISONOUS AND HAZARDOUS SUBSTANCE which should be handled by trained staff only.

    Storage

    -20 °C,-80 °C

    Storage Comment

    Upon receipt, store at -20°C or -80°C. Avoid repeated freeze.
  • Target

    RNF135 (Ring Finger Protein 135 (RNF135))

    Alternative Name

    RNF135

    Background

    Background: Acts as an E2-dependent E3 ubiquitin-protein ligase, involved in innate immune defense against viruses. Ubiquitinates DDX58 and is required for full activation of the DDX58 signaling resulting in interferon beta production.

    Aliases: E3 ubiquitin-protein ligase RNF135 antibody, L13 antibody, MGC13061 antibody, MMFD antibody, REUL antibody, RIG-I E3 ubiquitin ligase antibody, RING finger protein 135 antibody, Riplet antibody, RN135_HUMAN antibody, Rnf135 antibody

    UniProt

    Q8IUD6
You are here:
Chat with us!