Phone:
+1 877 302 8632
Fax:
+1 888 205 9894 (Toll-free)
E-Mail:
orders@antibodies-online.com

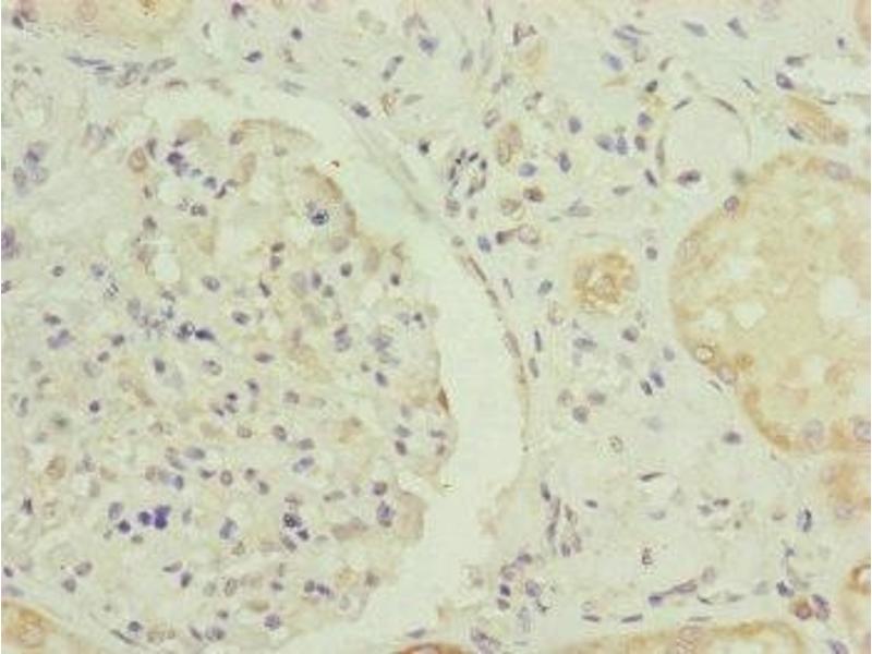
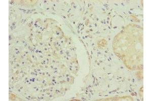
RNF139 antibody (AA 510-664)

The Rabbit Polyclonal anti-RNF139 antibody is suitable to detect RNF139 in samples from Human. It has been validated for ELISA and IHC.
Catalog No. ABIN7151154
$394.68
Plus shipping costs $50.00
Shipping to: United States
Delivery in 13 to 17 Business Days

Quick Overview for RNF139 antibody (AA 510-664) (ABIN7151154)

Target

See all RNF139 Antibodies
RNF139 (Ring Finger Protein 139 (RNF139))

Reactivity

  • 19
  • 18
  • 4
  • 2
  • 2
  • 2
  • 2
  • 1
  • 1
  • 1
  • 1
Human

Host

  • 29
  • 4
  • 1
Rabbit

Clonality

  • 31
  • 3
Polyclonal

Conjugate

  • 13
  • 2
  • 1
  • 1
  • 1
  • 1
  • 1
  • 1
  • 1
  • 1
  • 1
  • 1
  • 1
  • 1
  • 1
  • 1
  • 1
  • 1
  • 1
  • 1
  • 1
This RNF139 antibody is un-conjugated

Application

  • 26
  • 13
  • 13
  • 9
  • 5
  • 4
  • 3
ELISA, Immunohistochemistry (IHC)
  • Binding Specificity

    • 15
    • 2
    • 2
    • 2
    • 1
    • 1
    • 1
    • 1
    AA 510-664

    Purpose

    RNF139 Antibody

    Purification

    Antigen Affinity Purified

    Immunogen

    Recombinant Human E3 ubiquitin-protein ligase RNF139 protein (510-664AA)

    Isotype

    IgG
  • Application Notes

    Optimal working dilution should be determined by the investigator.

    Restrictions

    For Research Use only
  • Format

    Liquid

    Buffer

    PBS with 0.02 % sodium azide, 50 % glycerol, pH 7.3.

    Preservative

    Sodium azide

    Precaution of Use

    This product contains Sodium azide: a POISONOUS AND HAZARDOUS SUBSTANCE which should be handled by trained staff only.

    Storage

    -20 °C,-80 °C

    Storage Comment

    Upon receipt, store at -20°C or -80°C. Avoid repeated freeze.
  • Target

    RNF139 (Ring Finger Protein 139 (RNF139))

    Alternative Name

    RNF139

    Background

    Background: E3-ubiquitin ligase, acts as a negative regulator of the cell proliferation through mechanisms involving G2/M arrest and cell death. Required for MHC class I ubiquitination in cells expressing the cytomegalovirus protein US2 before dislocation from the endoplasmic reticulum (ER). Affects SREBP processing by hindering the SREBP/SCAP complex translocation from the ER to the Golgi, thereby reducing SREBF2 target gene expression. Required for INSIG1 ubiquitination. May be required for EIF3 complex ubiquitination. May function as a signaling receptor.

    Aliases: RNF139 antibody, TRC8 antibody, E3 ubiquitin-protein ligase RNF139 antibody, EC 2.3.2.27 antibody, RING finger protein 139 antibody, RING-type E3 ubiquitin transferase RNF139 antibody, Translocation in renal carcinoma on chromosome 8 protein antibody

    UniProt

    Q8WU17
You are here:
Chat with us!