Phone:
+1 877 302 8632
Fax:
+1 888 205 9894 (Toll-free)
E-Mail:
orders@antibodies-online.com

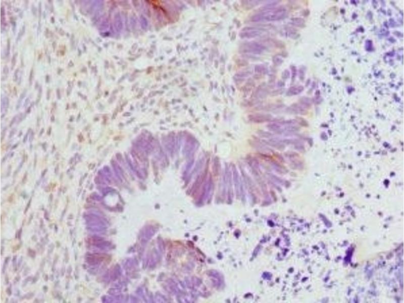
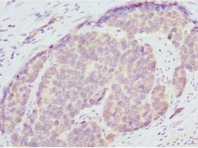
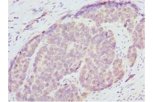
ENOX2 antibody (AA 411-610)

The Rabbit Polyclonal anti-ENOX2 antibody (ABIN7151362) specifically detects ENOX2 in IHC and ELISA. The antibody is reactive with Human samples.
Catalog No. ABIN7151362
$394.68
Plus shipping costs $50.00
Shipping to: United States
Delivery in 13 to 17 Business Days

Quick Overview for ENOX2 antibody (AA 411-610) (ABIN7151362)

Target

See all ENOX2 Antibodies
ENOX2 (Ecto-NOX Disulfide-Thiol Exchanger 2 (ENOX2))

Reactivity

  • 20
  • 8
  • 4
  • 1
  • 1
  • 1
  • 1
  • 1
  • 1
Human

Host

  • 20
  • 1
  • 1
Rabbit

Clonality

  • 22
Polyclonal

Conjugate

  • 17
  • 1
  • 1
  • 1
  • 1
  • 1
This ENOX2 antibody is un-conjugated

Application

  • 21
  • 16
  • 11
  • 9
  • 4
  • 3
  • 3
  • 3
  • 1
Immunohistochemistry (IHC), ELISA
  • Binding Specificity

    • 10
    • 5
    • 2
    • 1
    • 1
    • 1
    AA 411-610

    Purpose

    ENOX2 Antibody

    Purification

    Antigen Affinity Purified

    Immunogen

    Recombinant Human Ecto-NOX disulfide-thiol exchanger 2 protein (411-610AA)

    Isotype

    IgG
  • Application Notes

    Optimal working dilution should be determined by the investigator.

    Restrictions

    For Research Use only
  • Format

    Liquid

    Buffer

    PBS with 0.02 % sodium azide, 50 % glycerol, pH 7.3.

    Preservative

    Sodium azide

    Precaution of Use

    This product contains Sodium azide: a POISONOUS AND HAZARDOUS SUBSTANCE which should be handled by trained staff only.

    Storage

    -20 °C,-80 °C

    Storage Comment

    Upon receipt, store at -20°C or -80°C. Avoid repeated freeze.
  • Target

    ENOX2 (Ecto-NOX Disulfide-Thiol Exchanger 2 (ENOX2))

    Alternative Name

    ENOX2

    Background

    Background: May be involved in cell growth. Probably acts as a terminal oxidase of plasma electron transport from cytosolic NAD(P)H via hydroquinones to acceptors at the cell surface. Hydroquinone oxidase activity alternates with a protein disulfide-thiol interchange/oxidoreductase activity which may control physical membrane displacements associated with vesicle budding or cell enlargement. The activities oscillate with a period length of 22 minutes and play a role in control of the ultradian cellular biological clock.

    Aliases: APK1 antibody, APK1 antigen antibody, COVA1 antibody, Cytosolic ovarian carcinoma antigen 1 antibody, Ecto NOX disulfide thiol exchanger 2 antibody, ENOX 2 antibody, ENOX2 antibody, ENOX2_HUMAN antibody, OTTHUMP00000024021 antibody, OTTHUMP00000024022 antibody, Protein disulfide-thiol oxidoreductase antibody, tNOX antibody, Tumor associated hydroquinone oxidase antibody, Tumor-associated hydroquinone oxidase antibody

    UniProt

    Q16206
You are here:
Chat with us!