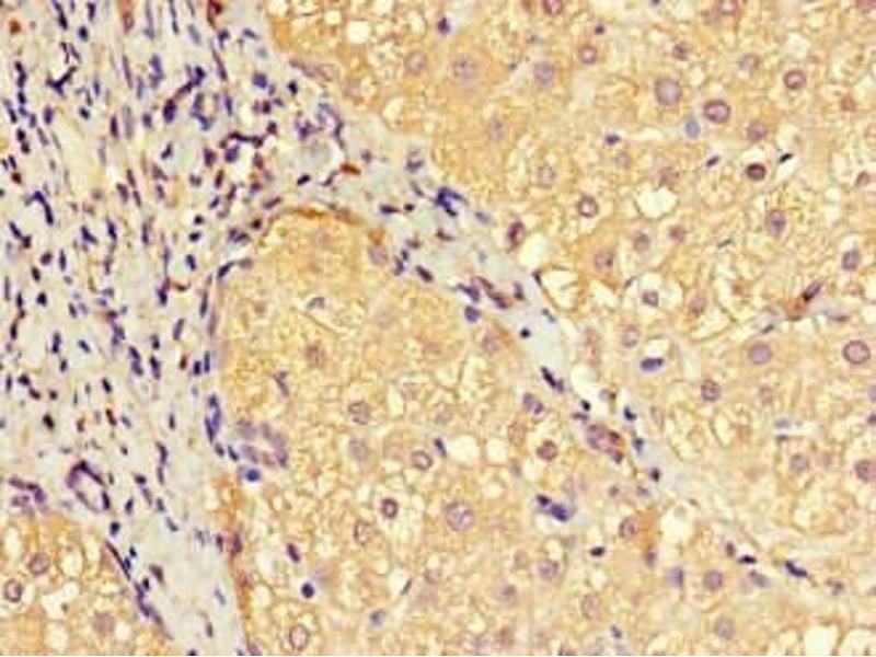
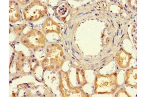
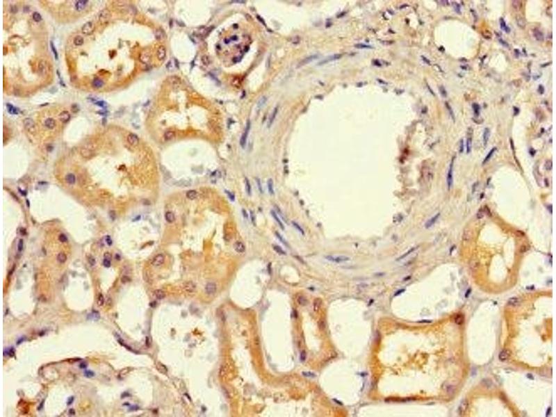
EFCAB7 antibody (AA 1-158)
Quick Overview for EFCAB7 antibody (AA 1-158) (ABIN7151414)
Target
Reactivity
Host
Clonality
Conjugate
Application
-
-
Binding Specificity
- AA 1-158
-
Purpose
- EFCAB7 Antibody
-
Cross-Reactivity
- Mouse
-
Purification
- Protein G purified
-
Purity
- >95 %
-
Immunogen
- Recombinant Human EF-hand calcium-binding domain-containing protein 7 protein (1-158AA)
-
Isotype
- IgG
-
-
-
-
Application Notes
- Optimal working dilution should be determined by the investigator.
-
Restrictions
- For Research Use only
-
-
-
Format
- Liquid
-
Buffer
-
Preservative: 0.03 % Proclin 300
Constituents: 50 % Glycerol, 0.01M PBS, PH 7.4 -
Preservative
- ProClin
-
Precaution of Use
- This product contains ProClin: a POISONOUS AND HAZARDOUS SUBSTANCE which should be handled by trained staff only.
-
Storage
- -20 °C,-80 °C
-
Storage Comment
- Upon receipt, store at -20°C or -80°C. Avoid repeated freeze.
-
-
- EFCAB7 (EF-Hand Calcium Binding Domain 7 (EFCAB7))
-
Alternative Name
- EFCAB7
-
Background
-
Background: primary cilium
Aliases: EF hand calcium binding domain 7 antibody, EF-hand calcium-binding domain-containing protein 7 antibody, Efcab7 antibody, EFCB7_HUMAN antibody, KIAA1799 antibody, RP4-534K7.1 antibody
-
UniProt
- A8K855
Target
-