Phone:
+1 877 302 8632
Fax:
+1 888 205 9894 (Toll-free)
E-Mail:
orders@antibodies-online.com

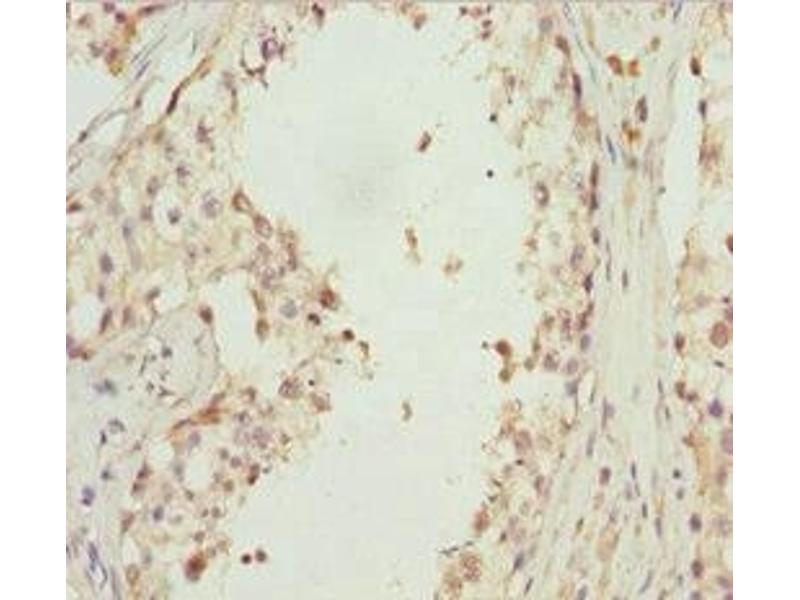
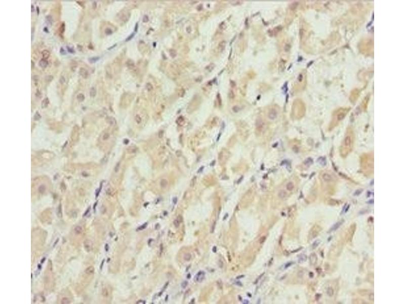
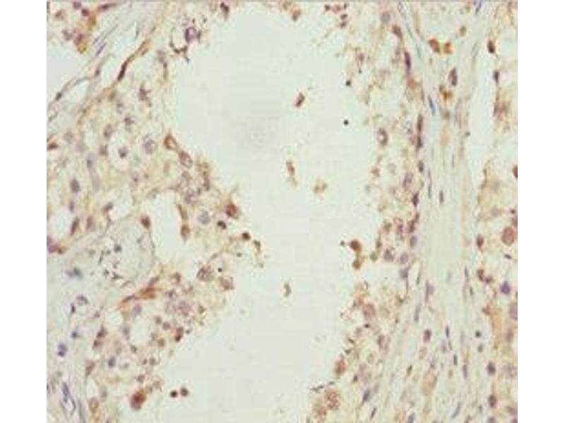
EFHC1 antibody (AA 391-640)

The Rabbit Polyclonal anti-EFHC1 antibody (ABIN7151422) specifically detects EFHC1 in WB, ELISA and IHC. The antibody is reactive with Human samples.
Catalog No. ABIN7151422
$394.68
Plus shipping costs $50.00
Shipping to: United States
Delivery in 13 to 17 Business Days

Quick Overview for EFHC1 antibody (AA 391-640) (ABIN7151422)

Target

See all EFHC1 Antibodies
EFHC1 (EF-Hand Domain (C-terminal) Containing 1 (EFHC1))

Reactivity

  • 28
  • 20
  • 18
  • 3
  • 2
  • 2
  • 2
  • 2
  • 1
  • 1
  • 1
Human

Host

  • 24
  • 4
Rabbit

Clonality

  • 26
  • 2
Polyclonal

Conjugate

  • 14
  • 1
  • 1
  • 1
  • 1
  • 1
  • 1
  • 1
  • 1
  • 1
  • 1
  • 1
  • 1
  • 1
  • 1
This EFHC1 antibody is un-conjugated

Application

  • 27
  • 13
  • 4
  • 4
  • 2
  • 1
  • 1
  • 1
Western Blotting (WB), ELISA, Immunohistochemistry (IHC)
  • Binding Specificity

    • 4
    • 2
    • 1
    • 1
    • 1
    • 1
    • 1
    AA 391-640

    Purpose

    EFHC1 Antibody

    Cross-Reactivity

    Mouse

    Purification

    Antigen Affinity Purified

    Immunogen

    Recombinant Human EF-hand domain-containing protein 1 protein (391-640AA)

    Isotype

    IgG
  • Application Notes

    Optimal working dilution should be determined by the investigator.

    Restrictions

    For Research Use only
  • Format

    Liquid

    Buffer

    PBS with 0.02 % sodium azide, 50 % glycerol, pH 7.3.

    Preservative

    Sodium azide

    Precaution of Use

    This product contains Sodium azide: a POISONOUS AND HAZARDOUS SUBSTANCE which should be handled by trained staff only.

    Storage

    -20 °C,-80 °C

    Storage Comment

    Upon receipt, store at -20°C or -80°C. Avoid repeated freeze.
  • Target

    EFHC1 (EF-Hand Domain (C-terminal) Containing 1 (EFHC1))

    Alternative Name

    EFHC1

    Background

    Background: Necessary for radial and tangential cell migration during brain development, possibly acting as a regulator of cell morphology and process formation during migration (PubMed:22926142). May enhance calcium influx through CACNA1E and stimulate programmed cell death (PubMed:15258581).

    Aliases: EF hand domain (C terminal) containing 1 antibody, EF hand domain containing protein 1 antibody, EF-hand domain-containing protein 1 antibody, Efhc1 antibody, EFHC1_HUMAN antibody, EJA1 antibody, EJM1 antibody, FLJ10466 antibody, FLJ37290 antibody, JAE antibody, Myoclonin 1 antibody, Myoclonin-1 antibody

    UniProt

    Q5JVL4
You are here:
Chat with us!