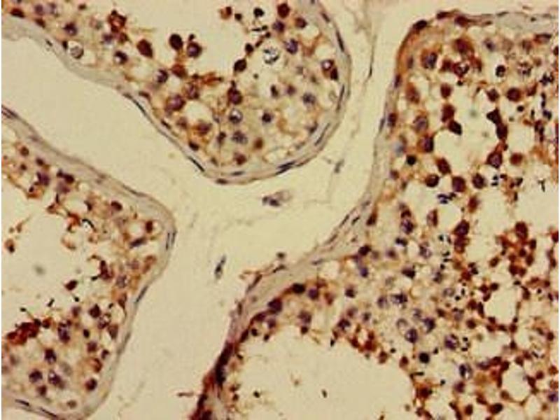
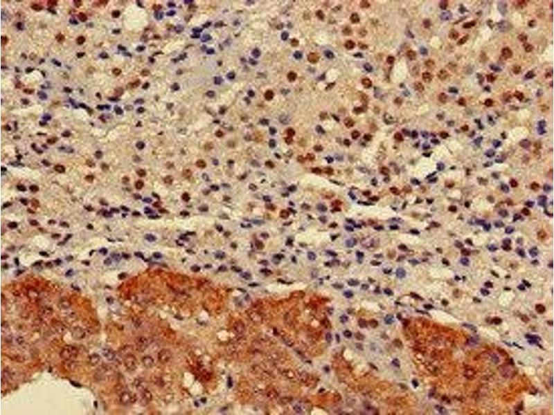
ELMOD2 antibody (AA 82-200)
Quick Overview for ELMOD2 antibody (AA 82-200) (ABIN7151526)
Target
See all ELMOD2 AntibodiesReactivity
Host
Clonality
Conjugate
Application
-
-
Binding Specificity
- AA 82-200
-
Purpose
- ELMOD2 Antibody
-
Cross-Reactivity
- Mouse
-
Purification
- Protein G purified
-
Purity
- >95 %
-
Immunogen
- Recombinant Human ELMO domain-containing protein 2 protein (82-200AA)
-
Isotype
- IgG
-
-
-
-
Application Notes
- Optimal working dilution should be determined by the investigator.
-
Restrictions
- For Research Use only
-
-
-
Format
- Liquid
-
Buffer
-
Preservative: 0.03 % Proclin 300
Constituents: 50 % Glycerol, 0.01M PBS, pH 7.4 -
Preservative
- ProClin
-
Precaution of Use
- This product contains ProClin: a POISONOUS AND HAZARDOUS SUBSTANCE which should be handled by trained staff only.
-
Storage
- -20 °C,-80 °C
-
Storage Comment
- Upon receipt, store at -20°C or -80°C. Avoid repeated freeze.
-
-
- ELMOD2 (ELMO/CED-12 Domain Containing 2 (ELMOD2))
-
Alternative Name
- ELMOD2
-
Background
-
Background: Acts as a GTPase-activating protein (GAP) toward guanine nucleotide exchange factors like ARL2, ARL3, ARF1 and ARF6, but not for GTPases outside the Arf family. Regulates IFN-related antiviral responses.
Aliases: 9830169G11Rik antibody, ELMD2_HUMAN antibody, ELMO domain containing 2 antibody, ELMO domain containing protein 2 antibody, ELMO domain-containing protein 2 antibody, ELMO/CED 12 domain containing 2 antibody, ELMOD2 antibody, MGC10084 antibody
-
UniProt
- Q8IZ81
Target
-