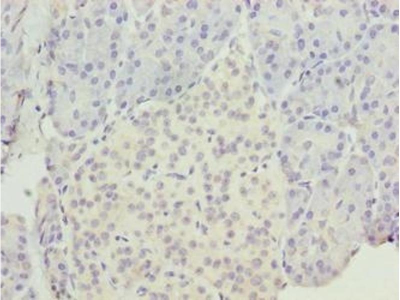
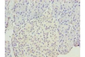
EGFL6 antibody (AA 301-554)
Quick Overview for EGFL6 antibody (AA 301-554) (ABIN7151903)
Target
See all EGFL6 AntibodiesReactivity
Host
Clonality
Conjugate
Application
-
-
Binding Specificity
- AA 301-554
-
Purpose
- EGFL6 Antibody
-
Purification
- Protein G purified
-
Purity
- >95 %
-
Immunogen
- Recombinant Human Epidermal growth factor-like protein 6 protein (301-554AA)
-
Isotype
- IgG
-
-
-
-
Application Notes
- Optimal working dilution should be determined by the investigator.
-
Restrictions
- For Research Use only
-
-
-
Format
- Liquid
-
Buffer
-
Preservative: 0.03 % Proclin 300
Constituents: 50 % Glycerol, 0.01M PBS, PH 7.4 -
Preservative
- ProClin
-
Precaution of Use
- This product contains ProClin: a POISONOUS AND HAZARDOUS SUBSTANCE which should be handled by trained staff only.
-
Storage
- -20 °C,-80 °C
-
Storage Comment
- Upon receipt, store at -20°C or -80°C. Avoid repeated freeze.
-
-
- EGFL6 (EGF-Like-Domain, Multiple 6 (EGFL6))
-
Alternative Name
- EGFL6
-
Background
-
Background: May bind integrin alpha-8/beta-1 and play a role in hair follicle morphogenesis. Promotes matrix assembly (By similarity).
Aliases: EGF like domain multiple 6 antibody, EGF repeat containing protein 6 antibody, EGF-like protein 6 antibody, EGF-like-domain multiple 6 antibody, egfl6 antibody, EGFL6_HUMAN antibody, epidermal growth factor like protein 6 antibody, Epidermal growth factor-like protein 6 antibody, MAEG antibody, MAM and EGF domain containing antibody, MAM and EGF domains containing gene protein antibody, MAM and EGF domains-containing gene protein antibody, W80 antibody
-
UniProt
- Q8IUX8
Target
-