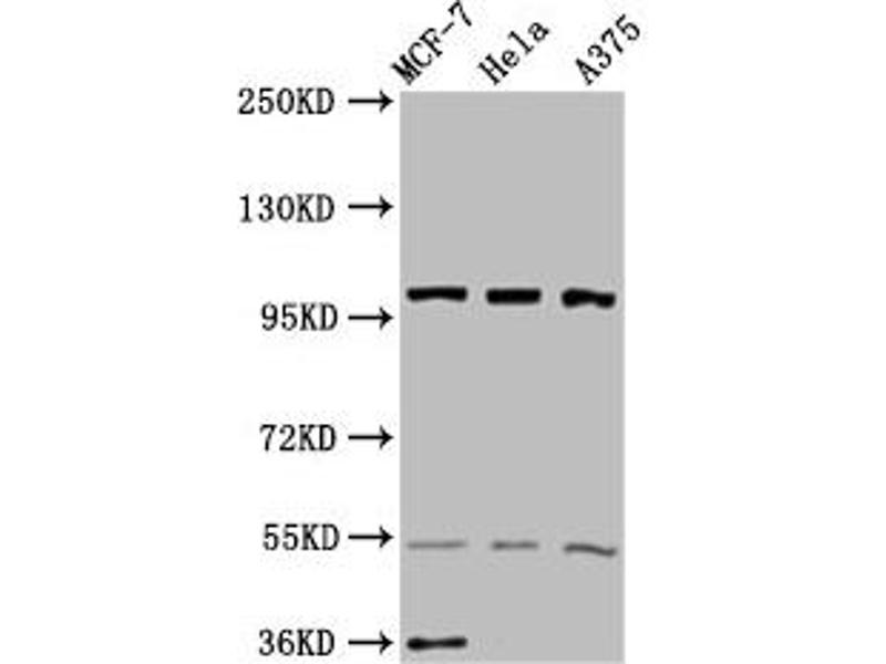
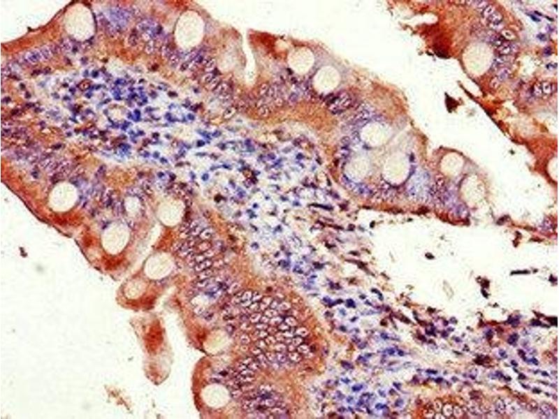
EIF3C antibody (AA 201-500)
Quick Overview for EIF3C antibody (AA 201-500) (ABIN7152149)
Target
See all EIF3C AntibodiesReactivity
Host
Clonality
Conjugate
Application
-
-
Binding Specificity
- AA 201-500
-
Purpose
- EIF3C Antibody
-
Purification
- Protein G purified
-
Purity
- >95 %
-
Immunogen
- Recombinant Human Eukaryotic translation initiation factor 3 subunit C protein (201-500AA)
-
Isotype
- IgG
-
-
-
-
Application Notes
- Optimal working dilution should be determined by the investigator.
-
Restrictions
- For Research Use only
-
-
-
Format
- Liquid
-
Buffer
-
Preservative: 0.03 % Proclin 300
Constituents: 50 % Glycerol, 0.01M PBS, PH 7.4 -
Preservative
- ProClin
-
Precaution of Use
- This product contains ProClin: a POISONOUS AND HAZARDOUS SUBSTANCE which should be handled by trained staff only.
-
Storage
- -20 °C,-80 °C
-
Storage Comment
- Upon receipt, store at -20°C or -80°C. Avoid repeated freeze.
-
-
- EIF3C (Eukaryotic Translation Initiation Factor 3 Subunit C (EIF3C))
-
Alternative Name
- EIF3C
-
Background
-
Background: Component of the eukaryotic translation initiation factor 3 (eIF-3) complex, which is required for several steps in the initiation of protein synthesis. The eIF-3 complex associates with the 40S ribosome and facilitates the recruitment of eIF-1, eIF-1A, eIF-2:GTP:methionyl-tRNAi and eIF-5 to form the 43S preinitiation complex (43S PIC). The eIF-3 complex stimulates mRNA recruitment to the 43S PIC and scanning of the mRNA for AUG recognition. The eIF-3 complex is also required for disassembly and recycling of post-termination ribosomal complexes and subsequently prevents premature joining of the 40S and 60S ribosomal subunits prior to initiation.
Aliases: Cell migration inducing protein 17 antibody, eIF 3c antibody, eIF3 p110 antibody, eIF3-p110 antibody, eIF3c antibody, EIF3C_HUMAN antibody, EIF3CL antibody, EIF3S8 antibody, EIF3S8 protein antibody, Eukaryotic translation initiation factor 3 subunit 8 (110kD) antibody, Eukaryotic translation initiation factor 3 subunit 8 110 kDa antibody, Eukaryotic translation initiation factor 3 subunit 8 antibody, Eukaryotic translation initiation factor 3 subunit C antibody
-
UniProt
- Q99613
-
Pathways
- Ribonucleoprotein Complex Subunit Organization
Target
-