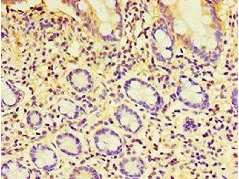
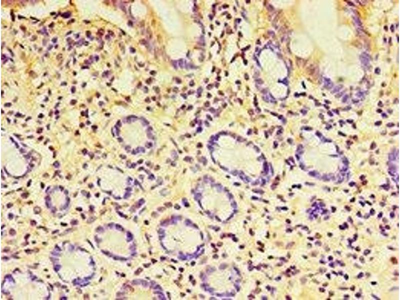
EXOC2 antibody (AA 1-220)
Quick Overview for EXOC2 antibody (AA 1-220) (ABIN7152252)
Target
See all EXOC2 AntibodiesReactivity
Host
Clonality
Conjugate
Application
-
-
Binding Specificity
- AA 1-220
-
Purpose
- EXOC2 Antibody
-
Purification
- Antigen Affinity Purified
-
Immunogen
- Recombinant Human Exocyst complex component 2 protein (1-220AA)
-
Isotype
- IgG
-
-
-
-
Application Notes
- Optimal working dilution should be determined by the investigator.
-
Restrictions
- For Research Use only
-
-
-
Format
- Liquid
-
Buffer
- PBS with 0.02 % sodium azide, 50 % glycerol, pH 7.3.
-
Preservative
- Sodium azide
-
Precaution of Use
- This product contains Sodium azide: a POISONOUS AND HAZARDOUS SUBSTANCE which should be handled by trained staff only.
-
Storage
- -20 °C,-80 °C
-
Storage Comment
- Upon receipt, store at -20°C or -80°C. Avoid repeated freeze.
-
-
- EXOC2 (Exocyst Complex Component 2 (EXOC2))
-
Alternative Name
- EXOC2
-
Background
-
Background: Component of the exocyst complex involved in the docking of exocytic vesicles with fusion sites on the plasma membrane.
Aliases: EXOC2 antibody, EXOC2_HUMAN antibody, Exocyst complex component 2 antibody, Exocyst complex component Sec5 antibody, FLJ11026 antibody, SEC5 antibody, SEC5 like 1 antibody, SEC5L1 antibody, Sec5p antibody
-
UniProt
- Q96KP1
-
Pathways
- Peptide Hormone Metabolism, Regulation of Actin Filament Polymerization, Synaptic Vesicle Exocytosis
Target
-