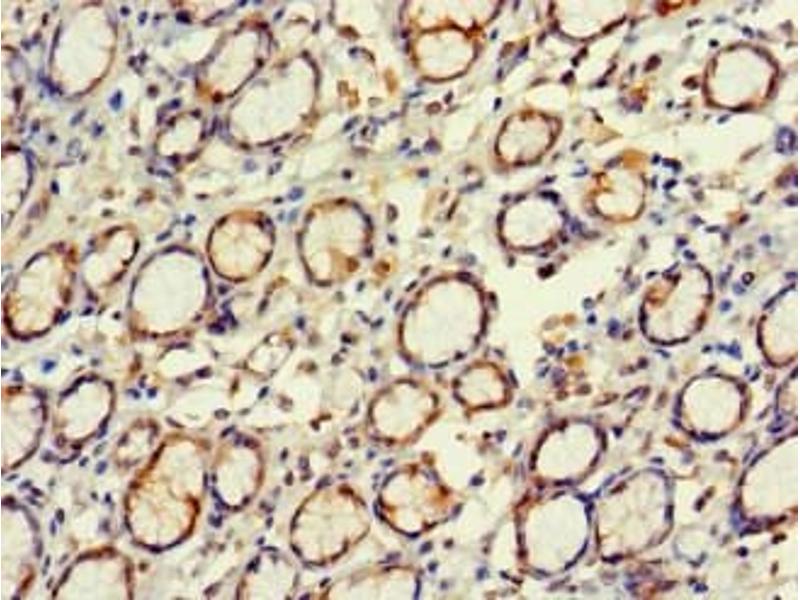
EXD2 antibody (AA 137-245)
Quick Overview for EXD2 antibody (AA 137-245) (ABIN7152269)
Target
Reactivity
Host
Clonality
Conjugate
Application
-
-
Binding Specificity
- AA 137-245
-
Purpose
- EXD2 Antibody
-
Cross-Reactivity
- Mouse
-
Purification
- Protein G purified
-
Purity
- >95 %
-
Immunogen
- Recombinant Human Exonuclease 3\\\'-5\\\' domain-containing protein 2 protein (137-245AA)
-
Isotype
- IgG
-
-
-
-
Application Notes
- Optimal working dilution should be determined by the investigator.
-
Restrictions
- For Research Use only
-
-
-
Format
- Liquid
-
Buffer
-
Preservative: 0.03 % Proclin 300
Constituents: 50 % Glycerol, 0.01M PBS, PH 7.4 -
Preservative
- ProClin
-
Precaution of Use
- This product contains ProClin: a POISONOUS AND HAZARDOUS SUBSTANCE which should be handled by trained staff only.
-
Storage
- -20 °C,-80 °C
-
Storage Comment
- Upon receipt, store at -20°C or -80°C. Avoid repeated freeze.
-
-
- EXD2 (Exonuclease 3'-5' Domain Containing 2 (EXD2))
-
Alternative Name
- EXD2
-
Background
-
Background: Exonuclease required for double-strand breaks resection and efficient homologous recombination. Plays a key role in controlling the initial steps of chromosomal break repair, it is recruited to chromatin in a damage-dependent manner and functionally interacts with the MRN complex to accelerate resection through its 3\\\'-5\\\' exonuclease activity, which efficiently processes double-stranded DNA substrates containing nicks.
Aliases: 4930539P14Rik antibody, C14orf114 antibody, C85658 antibody, DKFZp781A0133 antibody, DKFZp781L15100 antibody, Exd2 antibody, EXD2_HUMAN antibody, EXDL2 antibody, Exonuclease 3''-5'' domain-containing protein 2 antibody, Exonuclease 3''-5'' domain-like-containing protein 2 antibody, exonuclease 3'-5' domain-like 2 antibody, FLJ10738 antibody, RGD1311087 antibody
-
UniProt
- Q9NVH0
Target
-