Phone:
+1 877 302 8632
Fax:
+1 888 205 9894 (Toll-free)
E-Mail:
orders@antibodies-online.com

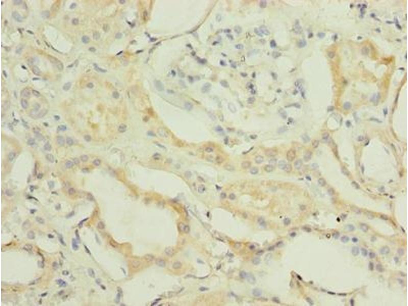
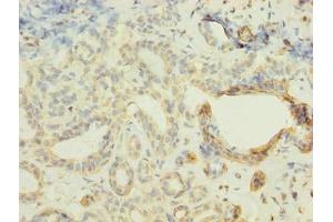
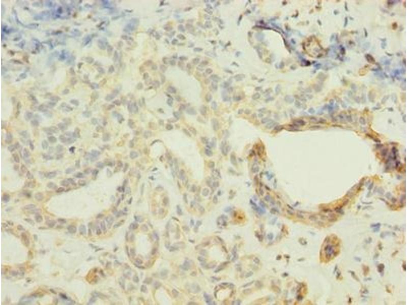
FBXO28 antibody (AA 251-368)

The Rabbit Polyclonal anti-FBXO28 antibody (ABIN7152421) specifically detects FBXO28 in ELISA and IHC. The antibody is reactive with Human samples.
Catalog No. ABIN7152421
$394.68
Plus shipping costs $50.00
Shipping to: United States
Delivery in 13 to 17 Business Days

Quick Overview for FBXO28 antibody (AA 251-368) (ABIN7152421)

Target

See all FBXO28 Antibodies
FBXO28 (F-Box Protein 28 (FBXO28))

Reactivity

  • 22
  • 10
  • 9
  • 4
  • 4
  • 4
  • 4
  • 3
  • 3
  • 2
  • 1
  • 1
  • 1
  • 1
  • 1
Human

Host

  • 19
  • 3
Rabbit

Clonality

  • 21
  • 1
Polyclonal

Conjugate

  • 18
  • 2
  • 1
  • 1
This FBXO28 antibody is un-conjugated

Application

  • 17
  • 5
  • 3
  • 3
  • 1
ELISA, Immunohistochemistry (IHC)
  • Binding Specificity

    • 4
    • 4
    • 3
    • 2
    • 2
    • 2
    • 1
    • 1
    • 1
    AA 251-368

    Purpose

    FBXO28 Antibody

    Purification

    Protein G purified

    Purity

    >95 %

    Immunogen

    Recombinant Human F-box only protein 28 protein (251-368AA)

    Isotype

    IgG
  • Application Notes

    Optimal working dilution should be determined by the investigator.

    Restrictions

    For Research Use only
  • Format

    Liquid

    Buffer

    Preservative: 0.03 % Proclin 300
    Constituents: 50 % Glycerol, 0.01M PBS, PH 7.4

    Preservative

    ProClin

    Precaution of Use

    This product contains ProClin: a POISONOUS AND HAZARDOUS SUBSTANCE which should be handled by trained staff only.

    Storage

    -20 °C,-80 °C

    Storage Comment

    Upon receipt, store at -20°C or -80°C. Avoid repeated freeze.
  • Target

    FBXO28 (F-Box Protein 28 (FBXO28))

    Alternative Name

    FBXO28

    Background

    Background: Probably recognizes and binds to some phosphorylated proteins and promotes their ubiquitination and degradation.

    Aliases: CENP 30 antibody, Centromere protein 30 antibody, F box only protein 28 antibody, F box protein 28 antibody, F-box only protein 28 antibody, Fbx28 antibody, FBX28_HUMAN antibody, FBXO28 antibody, FLJ10766 antibody, KIAA0483 antibody, OTTHUMP00000035597 antibody

    UniProt

    Q9NVF7
You are here:
Chat with us!