Phone:
+1 877 302 8632
Fax:
+1 888 205 9894 (Toll-free)
E-Mail:
orders@antibodies-online.com

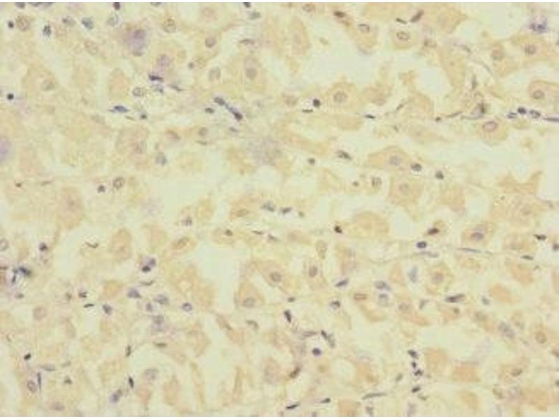
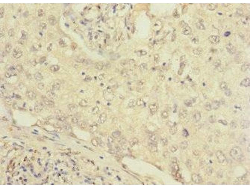
FCRL2 antibody (AA 20-100)

This Rabbit Polyclonal antibody specifically detects FCRL2 in ELISA, WB and IHC. It exhibits reactivity toward Human.
Catalog No. ABIN7152656
$394.68
Plus shipping costs $50.00
Shipping to: United States
Delivery in 13 to 17 Business Days

Quick Overview for FCRL2 antibody (AA 20-100) (ABIN7152656)

Target

See all FCRL2 Antibodies
FCRL2 (Fc Receptor-Like 2 (FCRL2))

Reactivity

  • 9
  • 1
  • 1
Human

Host

  • 5
  • 2
  • 2
Rabbit

Clonality

  • 5
  • 4
Polyclonal

Conjugate

  • 7
  • 1
  • 1
This FCRL2 antibody is un-conjugated

Application

  • 4
  • 4
  • 4
  • 1
ELISA, Western Blotting (WB), Immunohistochemistry (IHC)
  • Binding Specificity

    • 1
    • 1
    • 1
    • 1
    AA 20-100

    Purpose

    FCRL2 Antibody

    Purification

    Antigen Affinity Purified

    Immunogen

    Recombinant Human Fc receptor-like protein 2 protein (20-100AA)

    Isotype

    IgG
  • Application Notes

    Optimal working dilution should be determined by the investigator.

    Restrictions

    For Research Use only
  • Format

    Liquid

    Buffer

    PBS with 0.02 % sodium azide, 50 % glycerol, pH 7.3.

    Preservative

    Sodium azide

    Precaution of Use

    This product contains Sodium azide: a POISONOUS AND HAZARDOUS SUBSTANCE which should be handled by trained staff only.

    Storage

    -20 °C,-80 °C

    Storage Comment

    Upon receipt, store at -20°C or -80°C. Avoid repeated freeze.
  • Target

    FCRL2 (Fc Receptor-Like 2 (FCRL2))

    Alternative Name

    FCRL2

    Background

    Background: May have an regulatory role in normal and neoplastic B cell development.

    Aliases: CD307b antibody, Fc receptor homolog 2 antibody, Fc receptor like protein 2 antibody, Fc receptor-like protein 2 antibody, FcR-like protein 2 antibody, FcRH2 antibody, FCRL 2 antibody, FcRL2 antibody, FCRL2_HUMAN antibody, IFGP family protein 4 antibody, IFGP4 antibody, Immunoglobulin receptor translocation associated 4 protein antibody, Immunoglobulin receptor translocation-associated protein 4 antibody, IRTA4 antibody, SH2 domain containing phosphatase anchor protein 1 antibody, SH2 domain-containing phosphatase anchor protein 1 antibody, SPAP1 antibody

    UniProt

    Q96LA5
You are here:
Chat with us!