Phone:
+1 877 302 8632
Fax:
+1 888 205 9894 (Toll-free)
E-Mail:
orders@antibodies-online.com

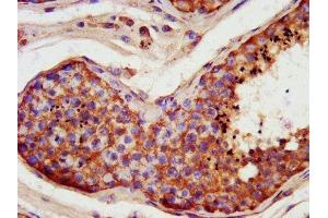
FATE1 antibody (AA 1-162)

The Rabbit Polyclonal anti-FATE1 antibody (ABIN7152727) specifically detects FATE1 in ELISA, IF and IHC. The antibody is reactive with Human samples.
Catalog No. ABIN7152727
$394.68
Plus shipping costs $50.00
Shipping to: United States
Delivery in 13 to 17 Business Days

Quick Overview for FATE1 antibody (AA 1-162) (ABIN7152727)

Target

See all FATE1 Antibodies
FATE1 (Fetal and Adult Testis Expressed 1 (FATE1))

Reactivity

  • 18
  • 2
  • 1
  • 1
  • 1
Human

Host

  • 10
  • 8
Rabbit

Clonality

  • 10
  • 8
Polyclonal

Conjugate

  • 14
  • 2
  • 1
  • 1
This FATE1 antibody is un-conjugated

Application

  • 13
  • 9
  • 3
  • 2
  • 2
  • 1
  • 1
  • 1
ELISA, Immunofluorescence (IF), Immunohistochemistry (IHC)
  • Binding Specificity

    • 5
    • 2
    • 2
    • 2
    • 1
    AA 1-162

    Purpose

    FATE1 Antibody

    Purification

    Protein G purified

    Purity

    >95 %

    Immunogen

    Recombinant Human Fetal and adult testis-expressed transcript protein (1-162AA)

    Isotype

    IgG
  • Application Notes

    Optimal working dilution should be determined by the investigator.

    Restrictions

    For Research Use only
  • Format

    Liquid

    Buffer

    Preservative: 0.03 % Proclin 300
    Constituents: 50 % Glycerol, 0.01M PBS, PH 7.4

    Preservative

    ProClin

    Precaution of Use

    This product contains ProClin: a POISONOUS AND HAZARDOUS SUBSTANCE which should be handled by trained staff only.

    Storage

    -20 °C,-80 °C

    Storage Comment

    Upon receipt, store at -20°C or -80°C. Avoid repeated freeze.
  • Target

    FATE1 (Fetal and Adult Testis Expressed 1 (FATE1))

    Alternative Name

    FATE1

    Background

    Background: Involved in the regulation of endoplasmic reticulum (ER)-mitochondria coupling. Negatively regulates the ER-mitochondria distance and Ca2+ transfer from ER to mitochondria possibly implicating it in the regulation of apoptosis (PubMed:27402544). May collaborate with RNF183 to restrain BIK protein levels thus regulating apoptotic signaling (PubMed:26567849).

    Aliases: Cancer/testis antigen 43 antibody, CT43 antibody, FATE antibody, FATE1 antibody, FATE1_HUMAN antibody, fetal and adult testis expressed 1 antibody, fetal and adult testis expressed transcript protein antibody, Fetal and adult testis-expressed transcript protein antibody, Protein BJ HCC 2 antibody, Tumor antigen BJ-HCC-2 antibody

    UniProt

    Q969F0
You are here:
Chat with us!