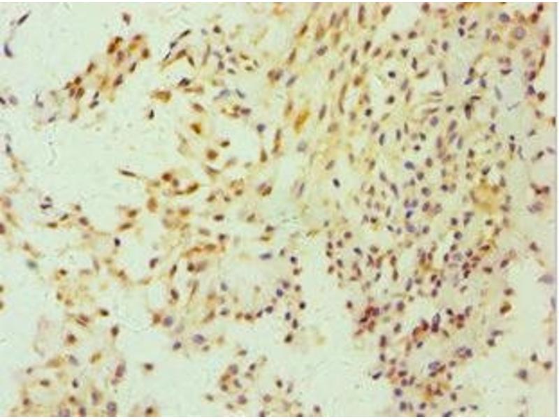
FGFBP1 antibody (AA 24-234)
Quick Overview for FGFBP1 antibody (AA 24-234) (ABIN7152857)
Target
See all FGFBP1 AntibodiesReactivity
Host
Clonality
Conjugate
Application
-
-
Binding Specificity
- AA 24-234
-
Purpose
- FGFBP1 Antibody
-
Cross-Reactivity
- Mouse
-
Purification
- Antigen Affinity Purified
-
Immunogen
- Recombinant Human Fibroblast growth factor-binding protein 1protein (24-234AA)
-
Isotype
- IgG
-
-
-
-
Application Notes
- Optimal working dilution should be determined by the investigator.
-
Restrictions
- For Research Use only
-
-
-
Format
- Liquid
-
Buffer
- PBS with 0.02 % sodium azide, 50 % glycerol, pH 7.3.
-
Preservative
- Sodium azide
-
Precaution of Use
- This product contains Sodium azide: a POISONOUS AND HAZARDOUS SUBSTANCE which should be handled by trained staff only.
-
Storage
- -20 °C,-80 °C
-
Storage Comment
- Upon receipt, store at -20°C or -80°C. Avoid repeated freeze.
-
-
- FGFBP1 (Fibroblast Growth Factor Binding Protein 1 (FGFBP1))
-
Alternative Name
- FGFBP1
-
Background
-
Background: Acts as a carrier protein that release fibroblast-binding factors (FGFs) from the extracellular matrix (EM) storage and thus enhance the mitogenic activity of FGFs. Enhances FGF2 signaling during tissue repair, angiogenesis and in tumor growth.
Aliases: 17 kDa HBGF-binding protein antibody, 17 kDa heparin binding growth factor binding protein antibody, 17 kDa heparin-binding growth factor-binding protein antibody, FGF binding protein 1 antibody, FGF BP antibody, FGF BP1 antibody, FGF-binding protein 1 antibody, FGF-BP antibody, FGF-BP1 antibody, FGFBP antibody, FGFBP-1 antibody, Fgfbp1 antibody, FGFP1_HUMAN antibody, Fibroblast growth factor binding protein 1 precursor antibody, Fibroblast growth factor-binding protein 1 antibody, HBp17 antibody
-
UniProt
- Q14512
Target
-