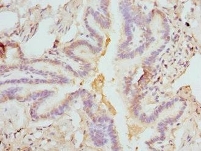
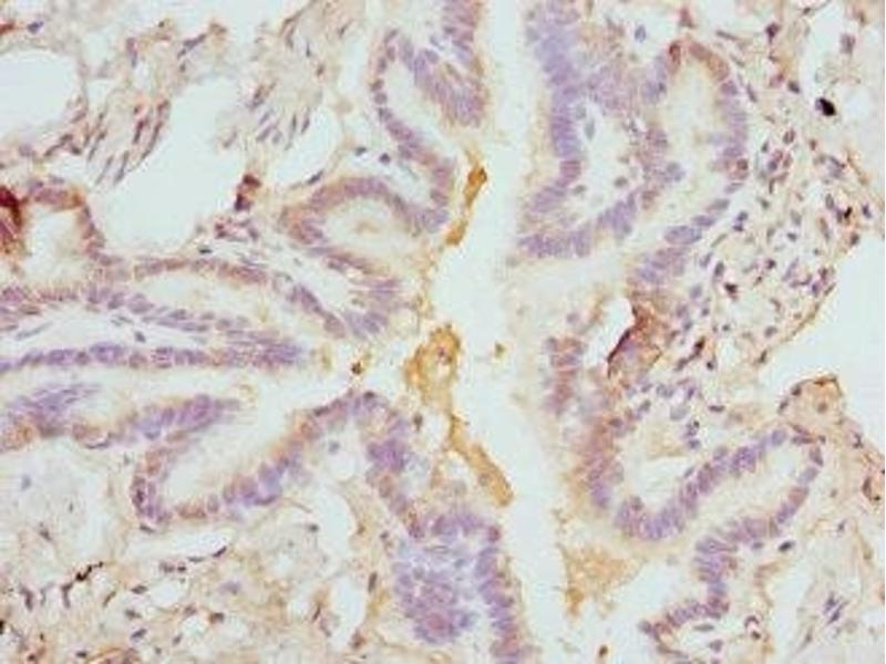
FCN1 antibody (AA 30-326)
Quick Overview for FCN1 antibody (AA 30-326) (ABIN7152931)
Target
See all FCN1 AntibodiesReactivity
Host
Clonality
Conjugate
Application
-
-
Binding Specificity
- AA 30-326
-
Purpose
- FCN1 Antibody
-
Purification
- Antigen Affinity Purified
-
Immunogen
- Recombinant Human Ficolin-1 protein (30-326AA)
-
Isotype
- IgG
-
-
-
-
Application Notes
- Optimal working dilution should be determined by the investigator.
-
Restrictions
- For Research Use only
-
-
-
Format
- Liquid
-
Buffer
- PBS with 0.02 % sodium azide, 50 % glycerol, pH 7.3.
-
Preservative
- Sodium azide
-
Precaution of Use
- This product contains Sodium azide: a POISONOUS AND HAZARDOUS SUBSTANCE which should be handled by trained staff only.
-
Storage
- -20 °C,-80 °C
-
Storage Comment
- Upon receipt, store at -20°C or -80°C. Avoid repeated freeze.
-
-
- FCN1 (Ficolin (Collagen/fibrinogen Domain Containing) 1 (FCN1))
-
Alternative Name
- FCN1
-
Background
-
Background: Extracellular lectin functioning as a pattern-recognition receptor in innate immunity. Binds the sugar moieties of pathogen-associated molecular patterns (PAMPs) displayed on microbes and activates the lectin pathway of the complement system. May also activate monocytes through a G protein-coupled receptor, FFAR2, inducing the secretion of interleukin-8/IL-8 (PubMed:21037097). Binds preferentially to 9-O-acetylated 2-6-linked sialic acid derivatives and to various glycans containing sialic acid engaged in a 2-3 linkage.
Aliases: Collagen/fibrinogen domain containing protein 1 antibody, Collagen/fibrinogen domain-containing protein 1 antibody, Fcn1 antibody, FCN1_HUMAN antibody, FCNM antibody, ficolin (collagen/fibrinogen domain containing) 1 antibody, Ficolin 1 antibody, Ficolin A antibody, Ficolin alpha antibody, Ficolin-1 antibody, Ficolin-A antibody, Ficolin-alpha antibody, M ficolin antibody, M-ficolin antibody
-
UniProt
- O00602
-
Pathways
- Complement System
Target
-