Phone:
+1 877 302 8632
Fax:
+1 888 205 9894 (Toll-free)
E-Mail:
orders@antibodies-online.com

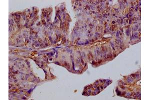
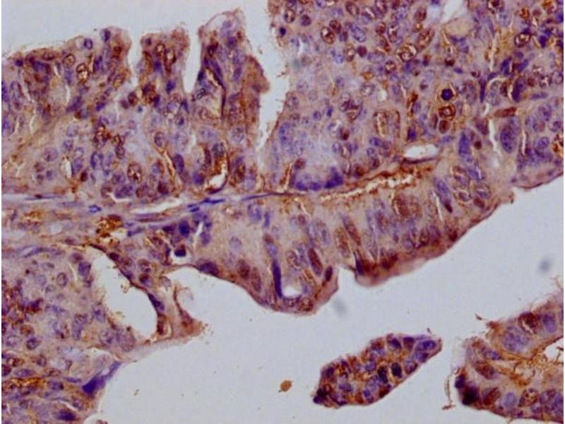
FIL1L antibody (AA 1-200)

The Rabbit Polyclonal anti-FIL1L antibody (ABIN7152940) specifically detects FIL1L in ELISA, WB, IHC and IF. The antibody is reactive with Human samples.
Catalog No. ABIN7152940
$394.68
Plus shipping costs $50.00
Shipping to: United States
Delivery in 13 to 17 Business Days

Quick Overview for FIL1L antibody (AA 1-200) (ABIN7152940)

Target

See all FIL1L (FILIP1L) Antibodies
FIL1L (FILIP1L) (Filamin A Interacting Protein 1-Like (FILIP1L))

Reactivity

  • 19
  • 5
  • 2
  • 2
  • 2
  • 2
  • 1
  • 1
  • 1
Human

Host

  • 17
  • 2
Rabbit

Clonality

  • 17
  • 2
Polyclonal

Conjugate

  • 10
  • 3
  • 2
  • 2
  • 1
  • 1
This FIL1L antibody is un-conjugated

Application

ELISA, Western Blotting (WB), Immunohistochemistry (IHC), Immunofluorescence (IF)
  • Binding Specificity

    • 6
    • 6
    • 2
    • 1
    • 1
    • 1
    • 1
    • 1
    AA 1-200

    Purpose

    FILIP1L Antibody

    Purification

    Protein G purified

    Purity

    >95 %

    Immunogen

    Recombinant Human Filamin A-interacting protein 1-like protein (1-200AA)

    Isotype

    IgG
  • Application Notes

    Optimal working dilution should be determined by the investigator.

    Restrictions

    For Research Use only
  • Format

    Liquid

    Buffer

    Preservative: 0.03 % Proclin 300
    Constituents: 50 % Glycerol, 0.01M PBS, PH 7.4

    Preservative

    ProClin

    Precaution of Use

    This product contains ProClin: a POISONOUS AND HAZARDOUS SUBSTANCE which should be handled by trained staff only.

    Storage

    -20 °C,-80 °C

    Storage Comment

    Upon receipt, store at -20°C or -80°C. Avoid repeated freeze.
  • Target

    FIL1L (FILIP1L) (Filamin A Interacting Protein 1-Like (FILIP1L))

    Alternative Name

    FILIP1L

    Background

    Background: Acts as a regulator of the antiangiogenic activity on endothelial cells. When overexpressed in endothelial cells, leads to inhibition of cell proliferation and migration and an increase in apoptosis. Inhibits melanoma growth When expressed in tumor-associated vasculature.

    Aliases: 130 kDa GPBP-interacting protein antibody, 90 kDa GPBP-interacting protein antibody, COL4A3BPIP antibody, DOC-1 antibody, DOC1 antibody, Downregulated in ovarian cancer 1 81 kDa isoform antibody, FIL1L_HUMAN antibody, Filamin A-interacting protein 1-like antibody, FILIP1L antibody, GIP130 antibody, GIP130a antibody, GIP130b antibody, GIP130c antibody, GIP90 antibody, GPBP interacting protein 90 antibody, Protein down-regulated in ovarian cancer 1 antibody

    UniProt

    Q4L180
You are here:
Chat with us!