Phone:
+1 877 302 8632
Fax:
+1 888 205 9894 (Toll-free)
E-Mail:
orders@antibodies-online.com

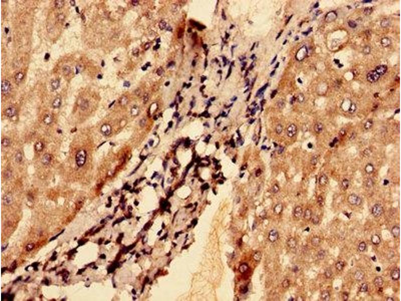
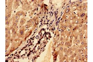
G0S2 antibody (AA 1-103)

The Rabbit Polyclonal anti-G0S2 antibody (ABIN7153381) specifically detects G0S2 in WB, ELISA and IHC. The antibody is reactive with Human samples.
Catalog No. ABIN7153381
$394.68
Plus shipping costs $50.00
Shipping to: United States
Delivery in 13 to 17 Business Days

Quick Overview for G0S2 antibody (AA 1-103) (ABIN7153381)

Target

See all G0S2 Antibodies
G0S2 (G0/G1switch 2 (G0S2))

Reactivity

  • 22
  • 7
  • 5
  • 3
Human

Host

  • 20
  • 2
Rabbit

Clonality

  • 22
Polyclonal

Conjugate

  • 14
  • 3
  • 3
  • 2
This G0S2 antibody is un-conjugated

Application

  • 13
  • 12
  • 5
  • 4
  • 2
  • 1
Western Blotting (WB), ELISA, Immunohistochemistry (IHC)
  • Binding Specificity

    • 12
    • 1
    • 1
    • 1
    AA 1-103

    Purpose

    G0S2 Antibody

    Purification

    Protein G purified

    Purity

    >95 %

    Immunogen

    Recombinant Human G0/G1 switch protein 2 protein (1-103AA)

    Isotype

    IgG
  • Application Notes

    Optimal working dilution should be determined by the investigator.

    Restrictions

    For Research Use only
  • Format

    Liquid

    Buffer

    Preservative: 0.03 % Proclin 300
    Constituents: 50 % Glycerol, 0.01M PBS, PH 7.4

    Preservative

    ProClin

    Precaution of Use

    This product contains ProClin: a POISONOUS AND HAZARDOUS SUBSTANCE which should be handled by trained staff only.

    Storage

    -20 °C,-80 °C

    Storage Comment

    Upon receipt, store at -20°C or -80°C. Avoid repeated freeze.
  • Target

    G0S2 (G0/G1switch 2 (G0S2))

    Alternative Name

    G0S2

    Background

    Background: Promotes apoptosis by binding to BCL2, hence preventing the formation of protective BCL2-BAX heterodimers.

    Aliases: G0/G1 switch regulatory protein 2 antibody, G0/G1switch 2 antibody, G0s2 antibody, G0S2_HUMAN antibody, OTTHUMP00000034644 antibody, Putative lymphocyte G0/G1 switch protein 2 antibody, RP1 28O10.2 antibody

    UniProt

    P27469

    Pathways

    Regulation of Lipid Metabolism by PPARalpha
You are here:
Chat with us!