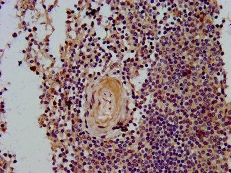
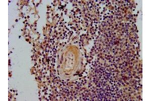
Galectin 10 antibody (AA 2-142)
Quick Overview for Galectin 10 antibody (AA 2-142) (ABIN7153444)
Target
See all Galectin 10 (CLC) AntibodiesReactivity
Host
Clonality
Conjugate
Application
-
-
Binding Specificity
- AA 2-142
-
Purpose
- CLC Antibody
-
Purification
- Protein G purified
-
Purity
- >95 %
-
Immunogen
- Recombinant Human Galectin-10 protein (2-142AA)
-
Isotype
- IgG
-
-
-
-
Application Notes
- Optimal working dilution should be determined by the investigator.
-
Restrictions
- For Research Use only
-
-
-
Format
- Liquid
-
Buffer
-
Preservative: 0.03 % Proclin 300
Constituents: 50 % Glycerol, 0.01M PBS, pH 7.4 -
Preservative
- ProClin
-
Precaution of Use
- This product contains ProClin: a POISONOUS AND HAZARDOUS SUBSTANCE which should be handled by trained staff only.
-
Storage
- -20 °C,-80 °C
-
Storage Comment
- Upon receipt, store at -20°C or -80°C. Avoid repeated freeze.
-
-
- Galectin 10 (CLC) (Charcot-Leyden Crystal Protein (CLC))
-
Alternative Name
- CLC
-
Background
-
Background: Regulates immune responses through the recognition of cell-surface glycans. Essential for the anergy and suppressive function of CD25-positive regulatory T-cells (Treg).
Aliases: BSF3 antibody, Charcot Leyden crystal protein antibody, Charcot-Leyden crystal protein antibody, CLC antibody, EC 3.1.1.5 antibody, Eosinophil lysophospholipase antibody, Gal-10 antibody, Galectin-10 antibody, LGALS10 antibody, LGALS10A antibody, LPPL HUMAN antibody, LPPL_HUMAN antibody, Lysolecithin acylhydrolase antibody, MGC149659 antibody
-
UniProt
- Q05315
-
Pathways
- Regulation of Leukocyte Mediated Immunity, Positive Regulation of Immune Effector Process, Production of Molecular Mediator of Immune Response
Target
-