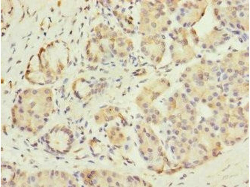
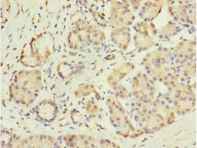
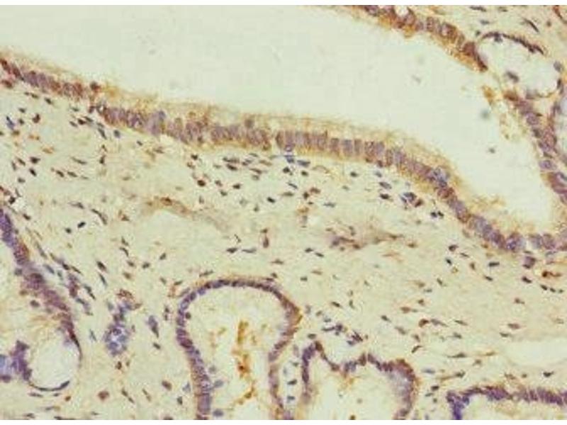
GIPR antibody (AA 22-138)
Quick Overview for GIPR antibody (AA 22-138) (ABIN7153669)
Target
See all GIPR AntibodiesReactivity
Host
Clonality
Conjugate
Application
-
-
Binding Specificity
- AA 22-138
-
Purpose
- GIPR Antibody
-
Cross-Reactivity
- Mouse, Rat
-
Purification
- Antigen Affinity Purified
-
Immunogen
- Recombinant Human Gastric inhibitory polypeptide receptor protein (22-138AA)
-
Isotype
- IgG
-
-
-
-
Application Notes
- Optimal working dilution should be determined by the investigator.
-
Restrictions
- For Research Use only
-
-
-
Format
- Liquid
-
Buffer
- PBS with 0.02 % sodium azide, 50 % glycerol, pH 7.3.
-
Preservative
- Sodium azide
-
Precaution of Use
- This product contains Sodium azide: a POISONOUS AND HAZARDOUS SUBSTANCE which should be handled by trained staff only.
-
Storage
- -20 °C,-80 °C
-
Storage Comment
- Upon receipt, store at -20°C or -80°C. Avoid repeated freeze.
-
-
- GIPR (Gastric Inhibitory Polypeptide Receptor (GIPR))
-
Alternative Name
- GIPR
-
Background
-
Background: This is a receptor for GIP. The activity of this receptor is mediated by G proteins which activate adenylyl cyclase.
Aliases: Gastric inhibitory polypeptide receptor antibody, GIP R antibody, GIP-R antibody, Gippr antibody, Gipr antibody, GIPR_HUMAN antibody, Glucose dependent insulinotropic polypeptide receptor antibody, Glucose-dependent insulinotropic polypeptide receptor antibody, Gm1081 antibody, Gm160 antibody, INSULINOTROPIC POLYPEPTIDE RECEPTOR, GLUCOSE DEPENDENT antibody, MGC126722 antibody, PGQTL2 antibody, RATGIPPR antibody
-
UniProt
- P48546
-
Pathways
- Positive Regulation of Peptide Hormone Secretion, cAMP Metabolic Process, Regulation of G-Protein Coupled Receptor Protein Signaling
Target
-