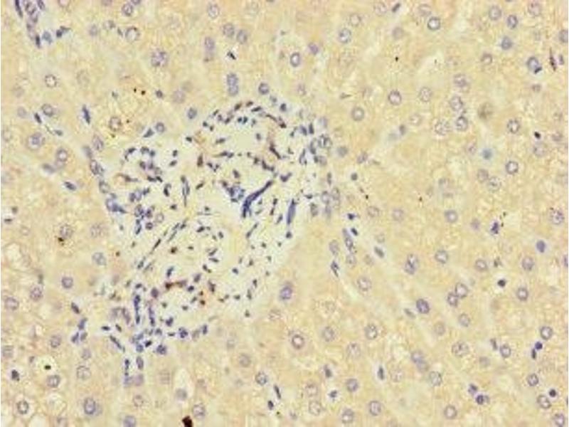
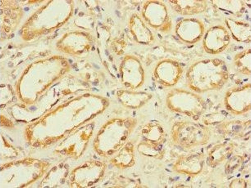
GLT8D1 antibody (AA 33-332)
Quick Overview for GLT8D1 antibody (AA 33-332) (ABIN7154242)
Target
See all GLT8D1 AntibodiesReactivity
Host
Clonality
Conjugate
Application
-
-
Binding Specificity
- AA 33-332
-
Purpose
- GLT8D1 Antibody
-
Cross-Reactivity
- Mouse
-
Purification
- Protein G purified
-
Purity
- >95 %
-
Immunogen
- Recombinant Human Glycosyltransferase 8 domain-containing protein 1 protein (33-332AA)
-
Isotype
- IgG
-
-
-
-
Application Notes
- Optimal working dilution should be determined by the investigator.
-
Restrictions
- For Research Use only
-
-
-
Format
- Liquid
-
Buffer
-
Preservative: 0.03 % Proclin 300
Constituents: 50 % Glycerol, 0.01M PBS, PH 7.4 -
Preservative
- ProClin
-
Precaution of Use
- This product contains ProClin: a POISONOUS AND HAZARDOUS SUBSTANCE which should be handled by trained staff only.
-
Storage
- -20 °C,-80 °C
-
Storage Comment
- Upon receipt, store at -20°C or -80°C. Avoid repeated freeze.
-
-
- GLT8D1 (Glycosyltransferase 8 Domain Containing 1 (GLT8D1))
-
Alternative Name
- GLT8D1
-
Background
-
Background: Golgi apparatus, membrane, transferase activity, transferring glycosyl groups, polysaccharide biosynthetic process
Aliases: Da2 24 antibody, GALA4A antibody, GL8D1_HUMAN antibody, glt8d1 antibody, Glycosyltransferase 8 domain containing 1 antibody, Glycosyltransferase 8 domain-containing protein 1 antibody, Glycosyltransferase AD 017 antibody, MGC94018 antibody, MSTP139 antibody
-
UniProt
- Q68CQ7
Target
-