Phone:
+1 877 302 8632
Fax:
+1 888 205 9894 (Toll-free)
E-Mail:
orders@antibodies-online.com

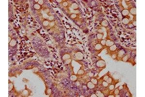
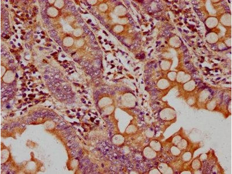
GPN3 antibody (AA 181-284)

The Rabbit Polyclonal anti-GPN3 antibody (ABIN7154368) specifically detects GPN3 in ELISA and IHC. The antibody is reactive with Human samples.
Catalog No. ABIN7154368
$394.68
Plus shipping costs $50.00
Shipping to: United States
Delivery in 13 to 17 Business Days

Quick Overview for GPN3 antibody (AA 181-284) (ABIN7154368)

Target

See all GPN3 Antibodies
GPN3 (GPN-Loop GTPase 3 (GPN3))

Reactivity

  • 24
  • 4
  • 4
  • 3
  • 2
  • 2
  • 2
  • 2
  • 2
  • 1
  • 1
Human

Host

  • 22
  • 2
Rabbit

Clonality

  • 24
Polyclonal

Conjugate

  • 7
  • 2
  • 2
  • 2
  • 1
  • 1
  • 1
  • 1
  • 1
  • 1
  • 1
  • 1
  • 1
  • 1
  • 1
This GPN3 antibody is un-conjugated

Application

  • 21
  • 13
  • 13
  • 5
  • 3
  • 3
  • 1
ELISA, Immunohistochemistry (IHC)
  • Binding Specificity

    • 15
    • 3
    • 2
    • 2
    • 1
    • 1
    AA 181-284

    Purpose

    GPN3 Antibody

    Purification

    Protein G purified

    Purity

    >95 %

    Immunogen

    Recombinant Human GPN-loop GTPase 3 protein (181-284AA)

    Isotype

    IgG
  • Application Notes

    Optimal working dilution should be determined by the investigator.

    Restrictions

    For Research Use only
  • Format

    Liquid

    Buffer

    Preservative: 0.03 % Proclin 300
    Constituents: 50 % Glycerol, 0.01M PBS, pH 7.4

    Preservative

    ProClin

    Precaution of Use

    This product contains ProClin: a POISONOUS AND HAZARDOUS SUBSTANCE which should be handled by trained staff only.

    Storage

    -20 °C,-80 °C

    Storage Comment

    Upon receipt, store at -20°C or -80°C. Avoid repeated freeze.
  • Target

    GPN3 (GPN-Loop GTPase 3 (GPN3))

    Alternative Name

    GPN3

    Background

    Background: Small GTPase required for proper localization of RNA polymerase II (RNAPII). May act at an RNAP assembly step prior to nuclear import.

    Aliases: ATP-binding domain 1 family member C antibody, ATPBD1C antibody, GPN-loop GTPase 3 antibody, Gpn3 antibody, GPN3_HUMAN antibody

    UniProt

    Q9UHW5
You are here:
Chat with us!