Phone:
+1 877 302 8632
Fax:
+1 888 205 9894 (Toll-free)
E-Mail:
orders@antibodies-online.com

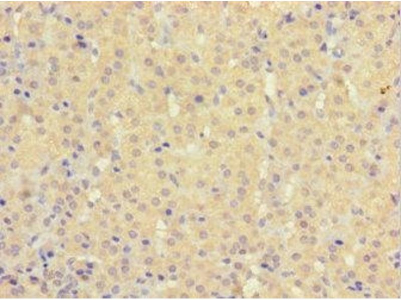
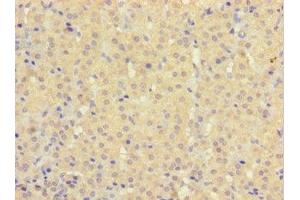
HEBP2 antibody (AA 2-205)

The Rabbit Polyclonal anti-HEBP2 antibody (ABIN7154959) specifically detects HEBP2 in ELISA and IHC. The antibody is reactive with Human samples.
Catalog No. ABIN7154959
$394.68
Plus shipping costs $50.00
Shipping to: United States
Delivery in 13 to 17 Business Days

Quick Overview for HEBP2 antibody (AA 2-205) (ABIN7154959)

Target

See all HEBP2 Antibodies
HEBP2 (Heme Binding Protein 2 (HEBP2))

Reactivity

  • 29
  • 12
  • 3
  • 2
  • 1
  • 1
  • 1
  • 1
  • 1
Human

Host

  • 26
  • 3
Rabbit

Clonality

  • 29
Polyclonal

Conjugate

  • 13
  • 3
  • 3
  • 2
  • 1
  • 1
  • 1
  • 1
  • 1
  • 1
  • 1
  • 1
This HEBP2 antibody is un-conjugated

Application

  • 17
  • 13
  • 2
  • 1
  • 1
  • 1
  • 1
  • 1
  • 1
ELISA, Immunohistochemistry (IHC)
  • Binding Specificity

    • 8
    • 4
    • 3
    • 2
    • 1
    • 1
    • 1
    • 1
    AA 2-205

    Purpose

    HEBP2 Antibody

    Purification

    Protein G purified

    Purity

    >95 %

    Immunogen

    Recombinant Human Heme-binding protein 2 protein (2-205AA)

    Isotype

    IgG
  • Application Notes

    Optimal working dilution should be determined by the investigator.

    Restrictions

    For Research Use only
  • Format

    Liquid

    Buffer

    Preservative: 0.03 % Proclin 300
    Constituents: 50 % Glycerol, 0.01M PBS, PH 7.4

    Preservative

    ProClin

    Precaution of Use

    This product contains ProClin: a POISONOUS AND HAZARDOUS SUBSTANCE which should be handled by trained staff only.

    Storage

    -20 °C,-80 °C

    Storage Comment

    Upon receipt, store at -20°C or -80°C. Avoid repeated freeze.
  • Target

    HEBP2 (Heme Binding Protein 2 (HEBP2))

    Alternative Name

    HEBP2

    Background

    Background: Can promote mitochondrial permeability transition and facilitate necrotic cell death under different types of stress conditions. Does not bind hemin.

    Aliases: C6orf34 antibody, Chromosome 6 open reading frame 34 antibody, Hebp2 antibody, HEBP2_HUMAN antibody, Heme binding protein 2 antibody, Heme-binding protein 2 antibody, Placental protein 23 antibody, PP23 antibody, Protein SOUL antibody, SOUL antibody

    UniProt

    Q9Y5Z4
You are here:
Chat with us!