Phone:
+1 877 302 8632
Fax:
+1 888 205 9894 (Toll-free)
E-Mail:
orders@antibodies-online.com

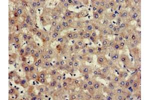
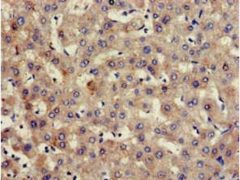
Hemopexin antibody (AA 32-254)

The Rabbit Polyclonal anti-Hemopexin antibody (ABIN7154998) specifically detects Hemopexin in IHC, ELISA and IF. The antibody is reactive with Human samples.
Catalog No. ABIN7154998
$394.68
Plus shipping costs $50.00
Shipping to: United States
Delivery in 13 to 17 Business Days

Quick Overview for Hemopexin antibody (AA 32-254) (ABIN7154998)

Target

See all Hemopexin (HPX) Antibodies
Hemopexin (HPX)

Reactivity

  • 93
  • 20
  • 16
  • 1
  • 1
Human

Host

  • 98
  • 12
  • 3
  • 1
  • 1
Rabbit

Clonality

  • 86
  • 29
Polyclonal

Conjugate

  • 45
  • 19
  • 8
  • 7
  • 3
  • 3
  • 3
  • 3
  • 3
  • 3
  • 2
  • 2
  • 1
  • 1
  • 1
  • 1
  • 1
  • 1
  • 1
  • 1
  • 1
  • 1
  • 1
  • 1
  • 1
  • 1
This Hemopexin antibody is un-conjugated

Application

  • 77
  • 42
  • 33
  • 26
  • 25
  • 15
  • 13
  • 13
  • 9
  • 8
  • 8
  • 7
  • 4
  • 3
  • 1
  • 1
  • 1
  • 1
  • 1
  • 1
Immunohistochemistry (IHC), ELISA, Immunofluorescence (IF)
  • Binding Specificity

    • 15
    • 9
    • 9
    • 6
    • 5
    • 5
    • 4
    • 2
    • 2
    • 2
    • 1
    • 1
    • 1
    • 1
    AA 32-254

    Purpose

    HPX Antibody

    Purification

    Protein G purified

    Purity

    >95 %

    Immunogen

    Recombinant Human Hemopexin protein (32-254AA)

    Isotype

    IgG
  • Application Notes

    Optimal working dilution should be determined by the investigator.

    Restrictions

    For Research Use only
  • Format

    Liquid

    Buffer

    Preservative: 0.03 % Proclin 300
    Constituents: 50 % Glycerol, 0.01M PBS, pH 7.4

    Preservative

    ProClin

    Precaution of Use

    This product contains ProClin: a POISONOUS AND HAZARDOUS SUBSTANCE which should be handled by trained staff only.

    Storage

    -20 °C,-80 °C

    Storage Comment

    Upon receipt, store at -20°C or -80°C. Avoid repeated freeze.
  • Target

    Hemopexin (HPX)

    Alternative Name

    HPX

    Background

    Background: Binds heme and transports it to the liver for breakdown and iron recovery, after which the free hemopexin returns to the circulation.

    Aliases: Beta 1B glycoprotein antibody, Beta-1B-glycoprotein antibody, FLJ56652 antibody, HEMO antibody, HEMO_HUMAN antibody, Hemopexin antibody, Hpx antibody, HX antibody

    UniProt

    P02790

    Pathways

    Transition Metal Ion Homeostasis, Regulation of Leukocyte Mediated Immunity, Positive Regulation of Immune Effector Process, Production of Molecular Mediator of Immune Response
You are here:
Chat with us!