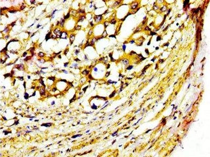
MST1 antibody (AA 363-465)
Quick Overview for MST1 antibody (AA 363-465) (ABIN7155047)
Target
See all MST1 AntibodiesReactivity
Host
Clonality
Conjugate
Application
-
-
Binding Specificity
- AA 363-465
-
Purpose
- MST1 Antibody
-
Purification
- Protein G purified
-
Purity
- >95 %
-
Immunogen
- Recombinant Human Hepatocyte growth factor-like protein (363-465AA)
-
Isotype
- IgG
-
-
-
-
Application Notes
- Optimal working dilution should be determined by the investigator.
-
Restrictions
- For Research Use only
-
-
-
Format
- Liquid
-
Buffer
-
Preservative: 0.03 % Proclin 300
Constituents: 50 % Glycerol, 0.01M PBS, pH 7.4 -
Preservative
- ProClin
-
Precaution of Use
- This product contains ProClin: a POISONOUS AND HAZARDOUS SUBSTANCE which should be handled by trained staff only.
-
Storage
- -20 °C,-80 °C
-
Storage Comment
- Upon receipt, store at -20°C or -80°C. Avoid repeated freeze.
-
-
- MST1 (Macrophage Stimulating 1 (Hepatocyte Growth Factor-Like) (MST1))
-
Alternative Name
- MST1
-
Background
-
Background: extracellular exosome, extracellular region, extracellular space, receptor tyrosine kinase binding, hepatocyte growth factor receptor signaling pathway, negative regulation of gluconeogenesis, regulation of cAMP-dependent protein kinase activity
Aliases: D3F15S2 antibody, DNF15S2 antibody, Hepatocyte growth factor like protein alpha chain antibody, Hepatocyte growth factor like protein antibody, Hepatocyte growth factor like protein beta chain antibody, Hepatocyte growth factor like protein homolog antibody, Hepatocyte growth factor-like protein beta chain antibody, HGFL antibody, HGFL_HUMAN antibody, Macrophage stimulating 1 (hepatocyte growth factor like) antibody, Macrophage stimulatory protein antibody, Macrophage-stimulating protein antibody, MSP antibody, MST1 antibody, NF15S2 antibody, OTTHUMP00000208927 antibody
-
UniProt
- P26927
Target
-