Phone:
+1 877 302 8632
Fax:
+1 888 205 9894 (Toll-free)
E-Mail:
orders@antibodies-online.com

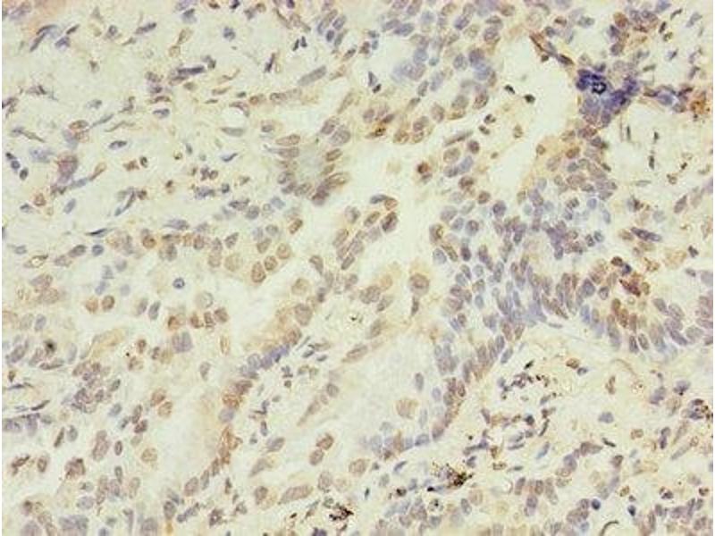
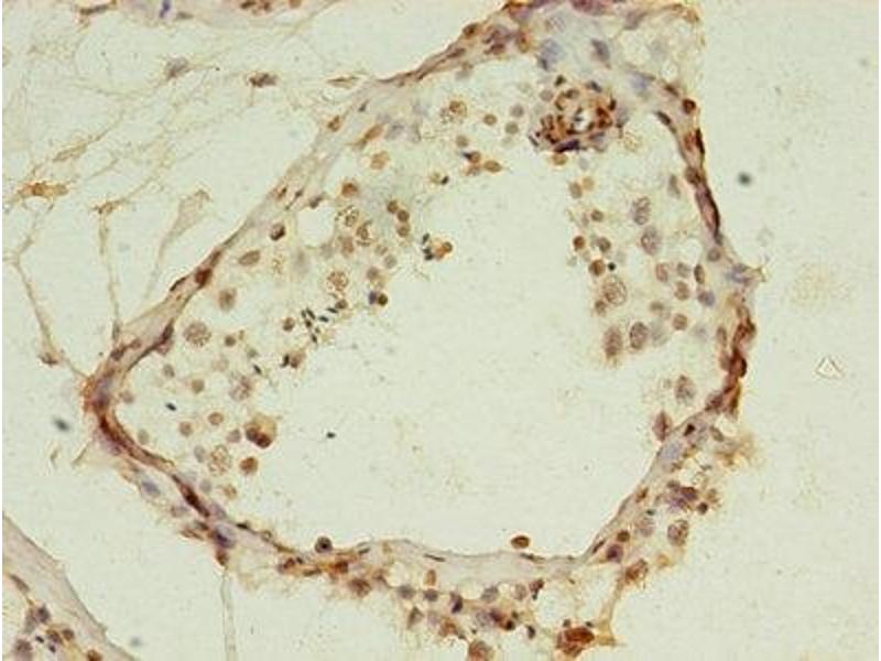
HIST1H2AG antibody (AA 2-130)

This Rabbit Polyclonal antibody specifically detects HIST1H2AG in ELISA, WB, IHC, IF and ChIP. It exhibits reactivity toward Human.
Catalog No. ABIN7155356
$394.68
Plus shipping costs $50.00
Shipping to: United States
Delivery in 13 to 17 Business Days

Quick Overview for HIST1H2AG antibody (AA 2-130) (ABIN7155356)

Target

See all HIST1H2AG Antibodies
HIST1H2AG (Histone Cluster 1, H2ag (HIST1H2AG))

Reactivity

  • 61
  • 9
  • 7
  • 5
  • 4
  • 1
Human

Host

  • 61
Rabbit

Clonality

  • 61
Polyclonal

Conjugate

  • 47
  • 5
  • 5
  • 2
  • 1
  • 1
This HIST1H2AG antibody is un-conjugated

Application

  • 42
  • 36
  • 21
  • 13
  • 12
  • 10
  • 3
  • 2
ELISA, Western Blotting (WB), Immunohistochemistry (IHC), Immunofluorescence (IF), Chromatin Immunoprecipitation (ChIP)
  • Binding Specificity

    • 8
    • 4
    • 3
    • 3
    • 3
    • 3
    • 3
    • 2
    • 2
    • 2
    • 2
    • 2
    • 2
    • 2
    • 1
    • 1
    • 1
    • 1
    • 1
    • 1
    • 1
    • 1
    • 1
    • 1
    • 1
    • 1
    • 1
    • 1
    • 1
    • 1
    • 1
    • 1
    • 1
    • 1
    • 1
    • 1
    • 1
    • 1
    AA 2-130

    Purpose

    HIST1H2AG Antibody

    Purification

    Protein G purified

    Purity

    >95 %

    Immunogen

    Recombinant Human Histone H2A type 1 protein (2-130AA)

    Isotype

    IgG
  • Application Notes

    Optimal working dilution should be determined by the investigator.

    Restrictions

    For Research Use only
  • Format

    Liquid

    Buffer

    Preservative: 0.03 % Proclin 300
    Constituents: 50 % Glycerol, 0.01M PBS, PH 7.4

    Preservative

    ProClin

    Precaution of Use

    This product contains ProClin: a POISONOUS AND HAZARDOUS SUBSTANCE which should be handled by trained staff only.

    Storage

    -20 °C,-80 °C

    Storage Comment

    Upon receipt, store at -20°C or -80°C. Avoid repeated freeze.
  • Target

    HIST1H2AG (Histone Cluster 1, H2ag (HIST1H2AG))

    Alternative Name

    HIST1H2AG

    Background

    Background: Core component of nucleosome. Nucleosomes wrap and compact DNA into chromatin, limiting DNA accessibility to the cellular machineries which require DNA as a template. Histones thereby play a central role in transcription regulation, DNA repair, DNA replication and chromosomal stability. DNA accessibility is regulated via a complex set of post-translational modifications of histones, also called histone code, and nucleosome remodeling.

    Aliases: H2AC11 antibody, H2AFP antibody, HIST1H2AG, antibody, H2AC13 antibody, H2AFC antibody, HIST1H2AI, antibody, H2AC15 antibody, H2AFD antibody, HIST1H2AK, antibody, H2AC16 antibody, H2AFI antibody, HIST1H2AL, antibody, H2AC17 antibody, H2AFN antibody, HIST1H2AMHistone H2A type 1 antibody, H2A.1 antibody, Histone H2A/ptl antibody

    UniProt

    P0C0S8
You are here:
Chat with us!