Phone:
+1 877 302 8632
Fax:
+1 888 205 9894 (Toll-free)
E-Mail:
orders@antibodies-online.com

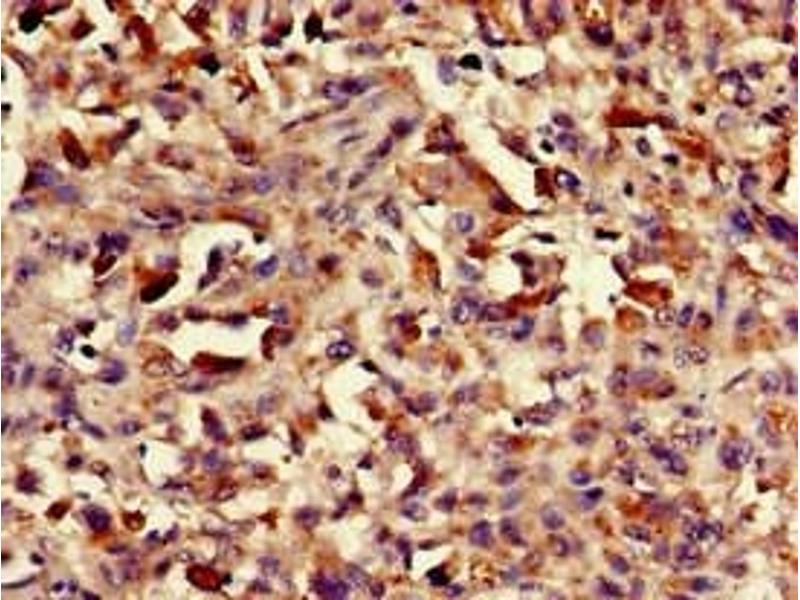
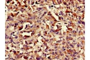
ASH1L antibody (AA 1906-2160)

This Rabbit Polyclonal antibody specifically detects ASH1L in ELISA, IHC and IF. It exhibits reactivity toward Human.
Catalog No. ABIN7155470
$394.68
Plus shipping costs $50.00
Shipping to: United States
Delivery in 13 to 17 Business Days

Quick Overview for ASH1L antibody (AA 1906-2160) (ABIN7155470)

Target

See all ASH1L Antibodies
ASH1L (Ash1 (Absent, Small, Or Homeotic)-like (ASH1L))

Reactivity

  • 9
  • 2
  • 1
  • 1
  • 1
  • 1
  • 1
  • 1
Human

Host

  • 6
  • 3
Rabbit

Clonality

  • 6
  • 3
Polyclonal

Conjugate

  • 5
  • 2
  • 1
  • 1
This ASH1L antibody is un-conjugated

Application

  • 4
  • 4
  • 1
  • 1
  • 1
  • 1
  • 1
ELISA, Immunohistochemistry (IHC), Immunofluorescence (IF)
  • Binding Specificity

    • 4
    • 1
    • 1
    • 1
    AA 1906-2160

    Purpose

    ASH1L Antibody

    Purification

    Protein G purified

    Purity

    >95 %

    Immunogen

    Recombinant Human Histone-lysine N-methyltransferase ASH1L protein (1906-2160AA)

    Isotype

    IgG
  • Application Notes

    Optimal working dilution should be determined by the investigator.

    Restrictions

    For Research Use only
  • Format

    Liquid

    Buffer

    Preservative: 0.03 % Proclin 300
    Constituents: 50 % Glycerol, 0.01M PBS, pH 7.4

    Preservative

    ProClin

    Precaution of Use

    This product contains ProClin: a POISONOUS AND HAZARDOUS SUBSTANCE which should be handled by trained staff only.

    Storage

    -20 °C,-80 °C

    Storage Comment

    Upon receipt, store at -20°C or -80°C. Avoid repeated freeze.
  • Target

    ASH1L (Ash1 (Absent, Small, Or Homeotic)-like (ASH1L))

    Alternative Name

    ASH1L

    Background

    Background: Histone methyltransferase specifically methylating \'Lys-36\' of histone H3 (H3K36me).

    Aliases: Absent small and homeotic disks protein 1 homolog antibody, Absent Small or Homeotic Like antibody, Absent Small or Homeotic Like antibody, ASH 1 antibody, ASH 1L antibody, ash1 (absent small or homeotic 1) antibody, Ash1 (absent small or homeotic) like antibody, ASH1-like protein antibody, ASH1L antibody, ASH1L_HUMAN antibody, ASH1L1 antibody, FLJ10504 antibody, huASH1 antibody, KIAA1420 antibody, KMT2H / ASH1 antibody, Lysine N-methyltransferase 2H antibody, Probable histone-lysine N-methyltransferase ASH1L antibody

    UniProt

    Q9NR48
You are here:
Chat with us!