Phone:
+1 877 302 8632
Fax:
+1 888 205 9894 (Toll-free)
E-Mail:
orders@antibodies-online.com

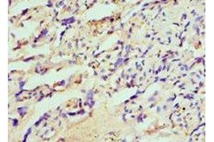
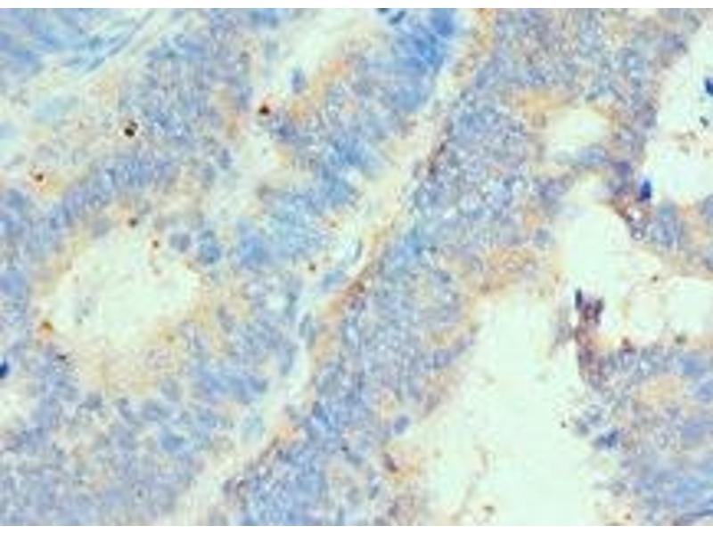
HIP1 antibody (AA 410-690)

The Rabbit Polyclonal anti-HIP1 antibody (ABIN7155937) specifically detects HIP1 in WB, IHC and ELISA. The antibody is reactive with Human samples.
Catalog No. ABIN7155937
$394.68
Plus shipping costs $50.00
Shipping to: United States
Delivery in 13 to 17 Business Days

Quick Overview for HIP1 antibody (AA 410-690) (ABIN7155937)

Target

See all HIP1 Antibodies
HIP1 (Huntingtin Interacting Protein 1 (HIP1))

Reactivity

  • 39
  • 23
  • 22
  • 3
  • 3
  • 2
  • 2
  • 2
  • 1
  • 1
Human

Host

  • 34
  • 5
Rabbit

Clonality

  • 26
  • 13
Polyclonal

Conjugate

  • 23
  • 2
  • 2
  • 2
  • 2
  • 2
  • 2
  • 2
  • 1
  • 1
This HIP1 antibody is un-conjugated

Application

  • 32
  • 14
  • 11
  • 11
  • 7
  • 5
  • 4
  • 3
  • 1
  • 1
  • 1
  • 1
Western Blotting (WB), Immunohistochemistry (IHC), ELISA
  • Binding Specificity

    • 4
    • 3
    • 2
    • 2
    • 2
    • 1
    • 1
    • 1
    • 1
    • 1
    AA 410-690

    Purpose

    HIP1 Antibody

    Purification

    Antigen Affinity purified

    Immunogen

    Recombinant Human Huntingtin-interacting protein 1 protein (410-690AA)

    Isotype

    IgG
  • Application Notes

    Optimal working dilution should be determined by the investigator.

    Restrictions

    For Research Use only
  • Format

    Liquid

    Buffer

    PBS with 0.02 % sodium azide, 50 % glycerol, pH 7.3.

    Preservative

    Sodium azide

    Precaution of Use

    This product contains Sodium azide: a POISONOUS AND HAZARDOUS SUBSTANCE which should be handled by trained staff only.

    Storage

    -20 °C,-80 °C

    Storage Comment

    Upon receipt, store at -20°C or -80°C. Avoid repeated freeze.
  • Target

    HIP1 (Huntingtin Interacting Protein 1 (HIP1))

    Alternative Name

    HIP1

    Background

    Background: Plays a role in clathrin-mediated endocytosis and trafficking. Involved in regulating AMPA receptor trafficking in the central nervous system in an NMDA-dependent manner. Enhances androgen receptor (AR)-mediated transcription. May act as a proapoptotic protein that induces cell death by acting through the intrinsic apoptosis pathway. Binds 3-phosphoinositides (via ENTH domain). May act through the ENTH domain to promote cell survival by stabilizing receptor tyrosine kinases following ligand-induced endocytosis. May play a functional role in the cell filament networks. May be required for differentiation, proliferation, and/or survival of somatic and germline progenitors.

    Aliases: 2610109B09Rik antibody, A930014B11Rik antibody, E130315I21Rik antibody, HIP 1 antibody, HIP I antibody, HIP-1 antibody, HIP-I antibody, hip1 antibody, HIP1/PDGFRB fusion gene antibody, HIP1/PDGFRB fusion gene, included antibody, HIP1_HUMAN antibody, HIPI antibody, Huntingtin interacting protein 1 antibody, Huntingtin Interacting Protein HIP1 antibody, Huntingtin-interacting protein 1 antibody, Huntingtin-interacting protein I antibody, ILWEQ antibody, KIAA4113 antibody, MGC126506 antibody, MGC27616 antibody, mKIAA4113 antibody

    UniProt

    O00291

    Pathways

    Positive Regulation of Endopeptidase Activity
You are here:
Chat with us!