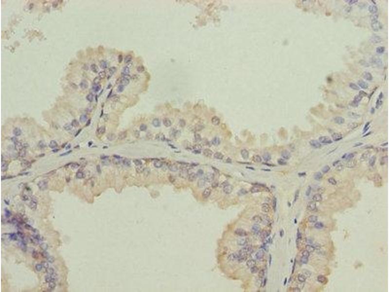
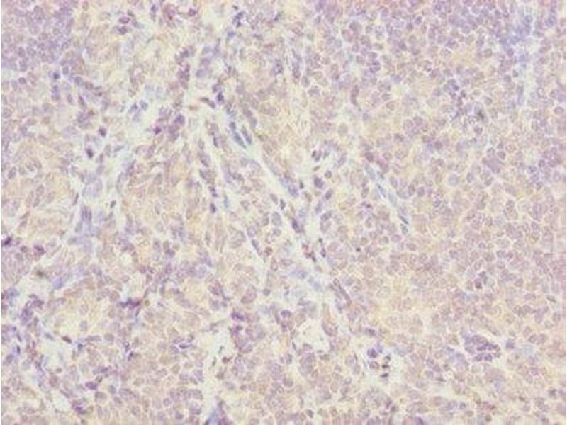
ISCA2 antibody (AA 9-154)
Quick Overview for ISCA2 antibody (AA 9-154) (ABIN7157054)
Target
See all ISCA2 AntibodiesReactivity
Host
Clonality
Conjugate
Application
-
-
Binding Specificity
- AA 9-154
-
Purpose
- ISCA2 Antibody
-
Purification
- Antigen Affinity Purified
-
Immunogen
- Recombinant Human Iron-sulfur cluster assembly 2 homolog, mitochondrial protein (9-154AA)
-
Isotype
- IgG
-
-
-
-
Application Notes
- Optimal working dilution should be determined by the investigator.
-
Restrictions
- For Research Use only
-
-
-
Format
- Liquid
-
Buffer
-
Preservative: 0.03 % Proclin 300
Constituents: 50 % Glycerol, 0.01M PBS, PH 7.4 -
Preservative
- ProClin
-
Precaution of Use
- This product contains ProClin: a POISONOUS AND HAZARDOUS SUBSTANCE which should be handled by trained staff only.
-
Storage
- -20 °C,-80 °C
-
Storage Comment
- Upon receipt, store at -20°C or -80°C. Avoid repeated freeze.
-
-
- ISCA2 (Iron-Sulfur Cluster Assembly 2 Homolog (ISCA2))
-
Alternative Name
- ISCA2
-
Background
-
Background: Involved in the maturation of mitochondrial 4Fe-4S proteins functioning late in the iron-sulfur cluster assembly pathway. May be involved in the binding of an intermediate of Fe/S cluster assembly.
Aliases: c14_5557 antibody, HESB like domain containing 1 antibody, HESB like domain containing protein 1 antibody, HESB-like domain-containing protein 1 antibody, iron sulfur cluster assembly 2 homolog (S. cerevisiae) antibody, Iron sulfur cluster assembly 2 homolog, mitochondrial antibody, Iron-sulfur cluster assembly 2 homolog, mitochondrial antibody, ISCA2 antibody, ISCA2_HUMAN antibody
-
UniProt
- Q86U28
Target
-