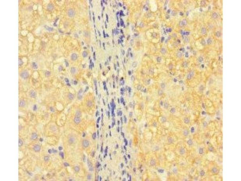
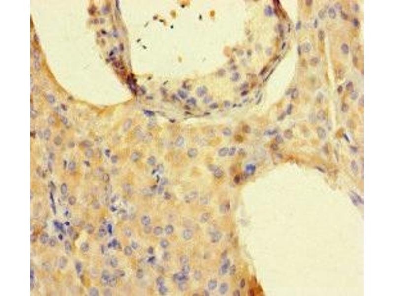
ISPD antibody (AA 1-264)
Quick Overview for ISPD antibody (AA 1-264) (ABIN7157130)
Target
See all ISPD AntibodiesReactivity
Host
Clonality
Conjugate
Application
-
-
Binding Specificity
- AA 1-264
-
Purpose
- ISPD Antibody
-
Purification
- Protein G purified
-
Purity
- >95 %
-
Immunogen
- Recombinant Human Isoprenoid synthase domain-containing protein (1-264AA)
-
Isotype
- IgG
-
-
-
-
Application Notes
- Optimal working dilution should be determined by the investigator.
-
Restrictions
- For Research Use only
-
-
-
Format
- Liquid
-
Buffer
-
Preservative: 0.03 % Proclin 300
Constituents: 50 % Glycerol, 0.01M PBS, PH 7.4 -
Preservative
- ProClin
-
Precaution of Use
- This product contains ProClin: a POISONOUS AND HAZARDOUS SUBSTANCE which should be handled by trained staff only.
-
Storage
- -20 °C,-80 °C
-
Storage Comment
- Upon receipt, store at -20°C or -80°C. Avoid repeated freeze.
-
-
- ISPD (Isoprenoid Synthase Domain Containing (ISPD))
-
Alternative Name
- ISPD
-
Background
-
Background: Required for protein O-linked mannosylation. Probably acts as a nucleotidyltransferase involved in synthesis of a nucleotide sugar. Required for dystroglycan O-mannosylation.
Aliases: 2-C-methyl-D-erythritol 4-phosphate cytidylyltransferase-like protein antibody, Isoprenoid synthase domain-containing protein antibody, ispD antibody, ISPD_HUMAN antibody
-
UniProt
- A4D126
Target
-