Phone:
+1 877 302 8632
Fax:
+1 888 205 9894 (Toll-free)
E-Mail:
orders@antibodies-online.com

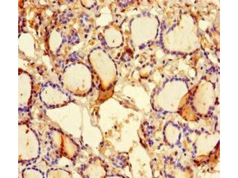
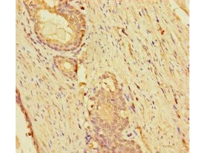
KLHL38 antibody (AA 1-200)

The Rabbit Polyclonal anti-KLHL38 antibody is suitable to detect KLHL38 in samples from Human. It has been validated for ELISA and IHC.
Catalog No. ABIN7157298
$394.68
Plus shipping costs $50.00
Shipping to: United States
Delivery in 13 to 17 Business Days

Quick Overview for KLHL38 antibody (AA 1-200) (ABIN7157298)

Target

KLHL38 (Kelch-Like 38 (KLHL38))

Reactivity

Human

Host

  • 14
Rabbit

Clonality

  • 14
Polyclonal

Conjugate

  • 5
  • 3
  • 2
  • 2
  • 1
  • 1
This KLHL38 antibody is un-conjugated

Application

  • 10
  • 10
  • 1
ELISA, Immunohistochemistry (IHC)
  • Binding Specificity

    • 7
    • 4
    • 4
    • 2
    AA 1-200

    Purpose

    KLHL38 Antibody

    Purification

    Protein G purified

    Purity

    >95 %

    Immunogen

    Recombinant Human Kelch-like protein 38 protein (1-200AA)

    Isotype

    IgG
  • Application Notes

    Optimal working dilution should be determined by the investigator.

    Restrictions

    For Research Use only
  • Format

    Liquid

    Buffer

    Preservative: 0.03 % Proclin 300
    Constituents: 50 % Glycerol, 0.01M PBS, PH 7.4

    Preservative

    ProClin

    Precaution of Use

    This product contains ProClin: a POISONOUS AND HAZARDOUS SUBSTANCE which should be handled by trained staff only.

    Storage

    -20 °C,-80 °C

    Storage Comment

    Upon receipt, store at -20°C or -80°C. Avoid repeated freeze.
  • Target

    KLHL38 (Kelch-Like 38 (KLHL38))

    Alternative Name

    KLHL38

    Background

    Background: Cul3-RING ubiquitin ligase complex, protein ubiquitination

    Aliases: KLHL38 antibody, C8orfK36Kelch-like protein 38 antibody

    UniProt

    Q2WGJ6
You are here:
Chat with us!