Phone:
+1 877 302 8632
Fax:
+1 888 205 9894 (Toll-free)
E-Mail:
orders@antibodies-online.com

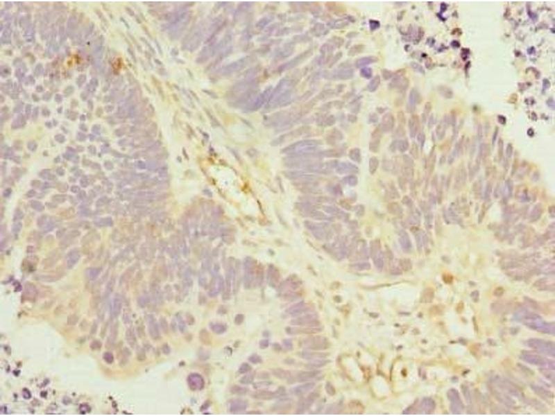
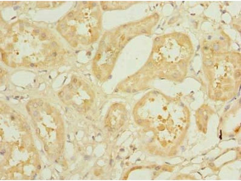
KLHDC5 antibody (AA 1-410)

This Rabbit Polyclonal antibody specifically detects KLHDC5 in ELISA, IHC and IF. It exhibits reactivity toward Human.
Catalog No. ABIN7157306
$394.68
Plus shipping costs $50.00
Shipping to: United States
Delivery in 13 to 17 Business Days

Quick Overview for KLHDC5 antibody (AA 1-410) (ABIN7157306)

Target

KLHDC5 (KLHL42) (Kelch-Like Family Member 42 (KLHL42))

Reactivity

  • 14
  • 7
  • 4
  • 4
  • 3
  • 3
  • 3
  • 2
  • 2
  • 1
  • 1
Human

Host

  • 14
Rabbit

Clonality

  • 14
Polyclonal

Conjugate

  • 10
  • 2
  • 1
  • 1
This KLHDC5 antibody is un-conjugated

Application

  • 9
  • 4
  • 2
  • 1
  • 1
ELISA, Immunohistochemistry (IHC), Immunofluorescence (IF)
  • Binding Specificity

    • 4
    • 2
    • 1
    • 1
    • 1
    • 1
    • 1
    • 1
    AA 1-410

    Purpose

    KLHL42 Antibody

    Purification

    Protein G purified

    Purity

    >95 %

    Immunogen

    Recombinant Human Kelch-like protein 42 protein (1-410AA)

    Isotype

    IgG
  • Application Notes

    Optimal working dilution should be determined by the investigator.

    Restrictions

    For Research Use only
  • Format

    Liquid

    Buffer

    Preservative: 0.03 % Proclin 300
    Constituents: 50 % Glycerol, 0.01M PBS, PH 7.4

    Preservative

    ProClin

    Precaution of Use

    This product contains ProClin: a POISONOUS AND HAZARDOUS SUBSTANCE which should be handled by trained staff only.

    Storage

    -20 °C,-80 °C

    Storage Comment

    Upon receipt, store at -20°C or -80°C. Avoid repeated freeze.
  • Target

    KLHDC5 (KLHL42) (Kelch-Like Family Member 42 (KLHL42))

    Alternative Name

    KLHL42

    Background

    Background: Substrate-specific adapter of a BCR (BTB-CUL3-RBX1) E3 ubiquitin-protein ligase complex required for mitotic progression and cytokinesis. The BCR(KLHL42) E3 ubiquitin ligase complex mediates the ubiquitination and subsequent degradation of KATNA1. Involved in microtubule dynamics throughout mitosis.

    Aliases: KLHL42 antibody, KIAA1340 antibody, KLHDC5Kelch-like protein 42 antibody, Cullin-3-binding protein 9 antibody, Ctb9 antibody, Kelch domain-containing protein 5 antibody

    UniProt

    Q9P2K6
You are here:
Chat with us!