Phone:
+1 877 302 8632
Fax:
+1 888 205 9894 (Toll-free)
E-Mail:
orders@antibodies-online.com

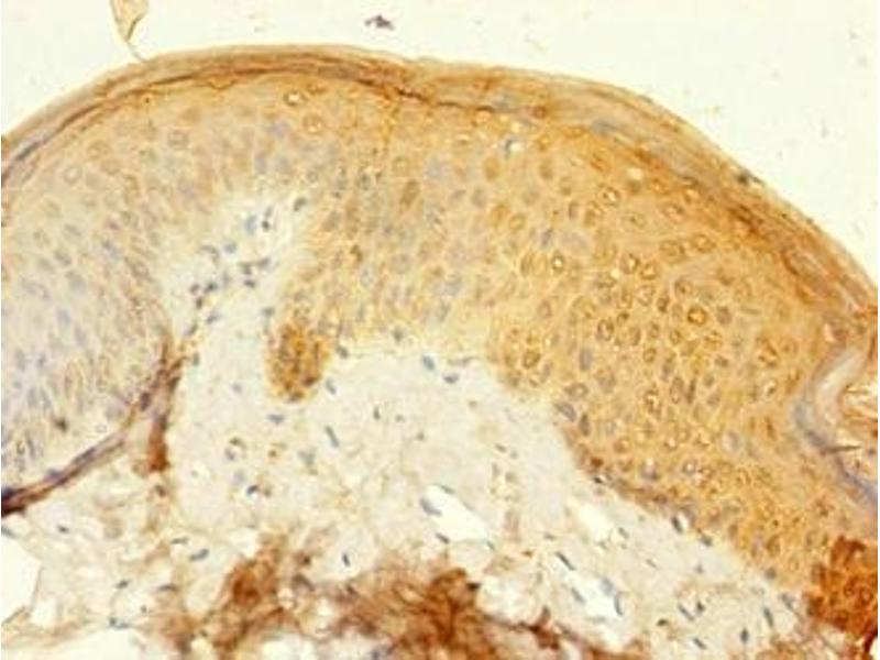
Keratin 77 antibody (AA 1-578)

The Rabbit Polyclonal anti-Keratin 77 antibody (ABIN7157416) specifically detects Keratin 77 in IHC and ELISA. The antibody is reactive with Human samples.
Catalog No. ABIN7157416
$394.68
Plus shipping costs $50.00
Shipping to: United States
Delivery in 13 to 17 Business Days

Quick Overview for Keratin 77 antibody (AA 1-578) (ABIN7157416)

Target

See all Keratin 77 (KRT77) Antibodies
Keratin 77 (KRT77)

Reactivity

  • 20
  • 10
  • 6
  • 5
  • 5
  • 4
  • 3
  • 3
  • 2
  • 1
  • 1
  • 1
  • 1
  • 1
Human

Host

  • 12
  • 8
Rabbit

Clonality

  • 11
  • 9
Polyclonal

Conjugate

  • 16
  • 2
  • 1
  • 1
This Keratin 77 antibody is un-conjugated

Application

  • 13
  • 12
  • 8
  • 6
  • 4
  • 1
  • 1
Immunohistochemistry (IHC), ELISA
  • Binding Specificity

    • 4
    • 2
    • 1
    • 1
    • 1
    • 1
    • 1
    AA 1-578

    Purpose

    KRT77 Antibody

    Purification

    Protein G purified

    Purity

    >95 %

    Immunogen

    Recombinant Human Keratin, type II cytoskeletal 1b protein (1-578AA)

    Isotype

    IgG
  • Application Notes

    Optimal working dilution should be determined by the investigator.

    Restrictions

    For Research Use only
  • Format

    Liquid

    Buffer

    Preservative: 0.03 % Proclin 300
    Constituents: 50 % Glycerol, 0.01M PBS, PH 7.4

    Preservative

    ProClin

    Precaution of Use

    This product contains ProClin: a POISONOUS AND HAZARDOUS SUBSTANCE which should be handled by trained staff only.

    Storage

    -20 °C,-80 °C

    Storage Comment

    Upon receipt, store at -20°C or -80°C. Avoid repeated freeze.
  • Target

    Keratin 77 (KRT77)

    Alternative Name

    KRT77

    Background

    CK-1B antibody, Cytokeratin-1B antibody, K1B antibody, K2C1B_HUMAN antibody, K77 antibody, KB39 antibody, Keratin 1B antibody, Keratin, type II cytoskeletal 1b antibody, Keratin-77 antibody, KRT1B antibody, Krt77 antibody, Type-II keratin Kb39 antibody

    UniProt

    Q7Z794
You are here:
Chat with us!