Phone:
+1 877 302 8632
Fax:
+1 888 205 9894 (Toll-free)
E-Mail:
orders@antibodies-online.com

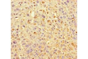
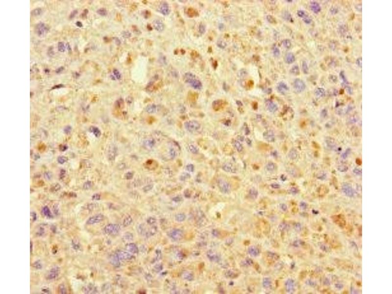
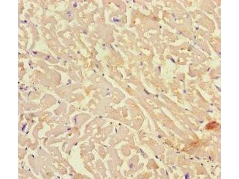
KIF24 antibody (AA 1168-1368)

The Rabbit Polyclonal anti-KIF24 antibody (ABIN7157632) specifically detects KIF24 in ELISA and IHC. The antibody is reactive with Human samples.
Catalog No. ABIN7157632
$394.68
Plus shipping costs $50.00
Shipping to: United States
Delivery in 13 to 17 Business Days

Quick Overview for KIF24 antibody (AA 1168-1368) (ABIN7157632)

Target

See all KIF24 Antibodies
KIF24 (Kinesin Family Member 24 (KIF24))

Reactivity

  • 17
  • 8
  • 1
  • 1
  • 1
  • 1
  • 1
  • 1
  • 1
Human

Host

  • 17
Rabbit

Clonality

  • 17
Polyclonal

Conjugate

  • 8
  • 3
  • 2
  • 2
  • 1
  • 1
This KIF24 antibody is un-conjugated

Application

  • 13
  • 10
  • 8
  • 8
  • 1
ELISA, Immunohistochemistry (IHC)
  • Binding Specificity

    • 7
    • 4
    • 4
    • 1
    • 1
    • 1
    • 1
    AA 1168-1368

    Purpose

    KIF24 Antibody

    Purification

    Protein G purified

    Purity

    >95 %

    Immunogen

    Recombinant Human Kinesin-like protein KIF24 protein (1168-1368AA)

    Isotype

    IgG
  • Application Notes

    Optimal working dilution should be determined by the investigator.

    Restrictions

    For Research Use only
  • Format

    Liquid

    Buffer

    Preservative: 0.03 % Proclin 300
    Constituents: 50 % Glycerol, 0.01M PBS, PH 7.4

    Preservative

    ProClin

    Precaution of Use

    This product contains ProClin: a POISONOUS AND HAZARDOUS SUBSTANCE which should be handled by trained staff only.

    Storage

    -20 °C,-80 °C

    Storage Comment

    Upon receipt, store at -20°C or -80°C. Avoid repeated freeze.
  • Target

    KIF24 (Kinesin Family Member 24 (KIF24))

    Alternative Name

    KIF24

    Background

    Background: Microtubule-dependent motor protein that acts as a negative regulator of ciliogenesis by mediating recruitment of CCP110 to mother centriole in cycling cells, leading to restrict nucleation of cilia at centrioles. Mediates depolymerization of microtubules of centriolar origin, possibly to suppress aberrant cilia formation.

    Aliases: bA571F15.4 antibody, C9orf48 antibody, Kif24 antibody, KIF24_HUMAN antibody, kinesin family member 24 antibody, Kinesin-like protein KIF24 antibody, RP11-571F15.7 antibody

    UniProt

    Q5T7B8
You are here:
Chat with us!