Phone:
+1 877 302 8632
Fax:
+1 888 205 9894 (Toll-free)
E-Mail:
orders@antibodies-online.com

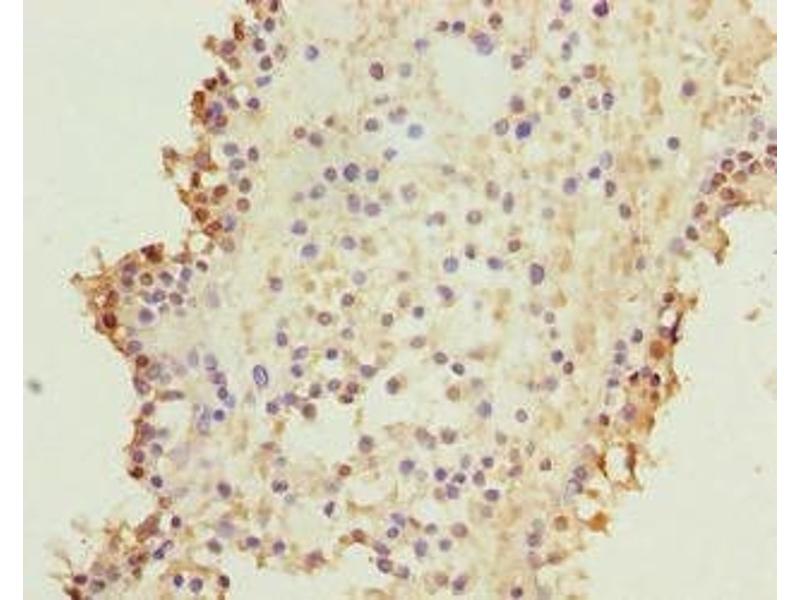
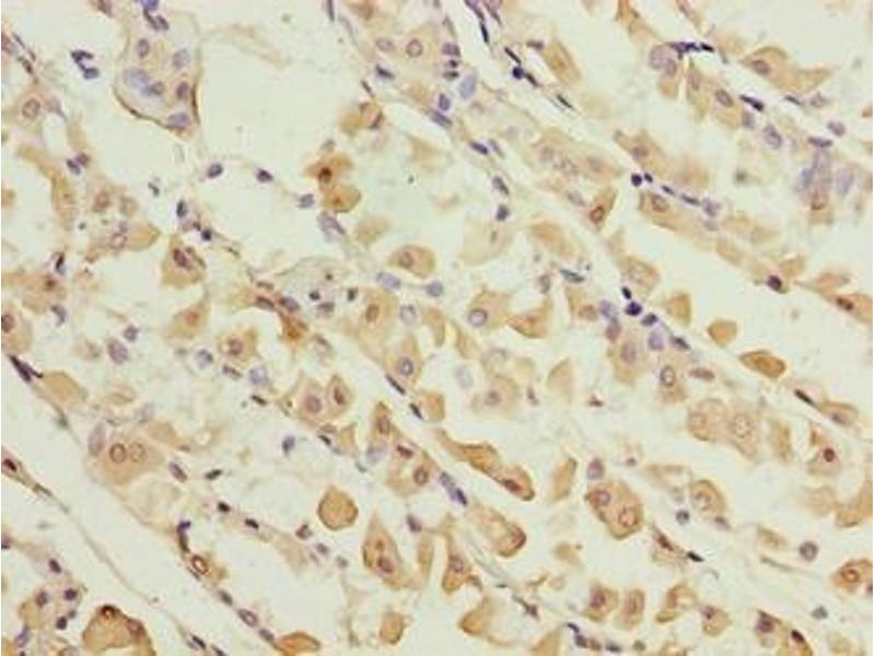
KIF26B antibody (AA 8-133)

The Rabbit Polyclonal anti-KIF26B antibody is suitable to detect KIF26B in samples from Human. It has been validated for ELISA and IHC.
Catalog No. ABIN7157640
$394.68
Plus shipping costs $50.00
Shipping to: United States
Delivery in 13 to 17 Business Days

Quick Overview for KIF26B antibody (AA 8-133) (ABIN7157640)

Target

See all KIF26B Antibodies
KIF26B (Kinesin Family Member 26B (KIF26B))

Reactivity

  • 9
  • 3
  • 2
Human

Host

  • 8
  • 1
Rabbit

Clonality

  • 9
Polyclonal

Conjugate

  • 5
  • 2
  • 1
  • 1
This KIF26B antibody is un-conjugated

Application

  • 6
  • 3
  • 2
  • 1
  • 1
ELISA, Immunohistochemistry (IHC)
  • Binding Specificity

    • 4
    • 2
    • 1
    • 1
    AA 8-133

    Purpose

    KIF26B Antibody

    Purification

    Protein G purified

    Purity

    >95 %

    Immunogen

    Recombinant Human Kinesin-like protein KIF26B protein (8-133AA)

    Isotype

    IgG
  • Application Notes

    Optimal working dilution should be determined by the investigator.

    Restrictions

    For Research Use only
  • Format

    Liquid

    Buffer

    Preservative: 0.03 % Proclin 300
    Constituents: 50 % Glycerol, 0.01M PBS, PH 7.4

    Preservative

    ProClin

    Precaution of Use

    This product contains ProClin: a POISONOUS AND HAZARDOUS SUBSTANCE which should be handled by trained staff only.

    Storage

    -20 °C,-80 °C

    Storage Comment

    Upon receipt, store at -20°C or -80°C. Avoid repeated freeze.
  • Target

    KIF26B (Kinesin Family Member 26B (KIF26B))

    Alternative Name

    KIF26B

    Background

    Background: Essential for embryonic kidney development. Plays an important role in the compact adhesion between mesenchymal cells adjacent to the ureteric buds, possibly by interacting with MYH10. This could lead to the establishment of the basolateral integrity of the mesenchyme and the polarized expression of ITGA8, which maintains the GDNF expression required for further ureteric bud attraction. Although it seems to lack ATPase activity it is constitutively associated with microtubules.

    Aliases: FLJ10157 antibody, KI26B_HUMAN antibody, KIF26B antibody, Kinesin-like protein KIF26B antibody

    UniProt

    Q2KJY2
You are here:
Chat with us!